SATB2 Antibody - #DF2962

Product: | SATB2 Antibody |
Catalog: | DF2962 |
Description: | Rabbit polyclonal antibody to SATB2 |
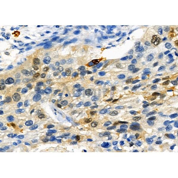
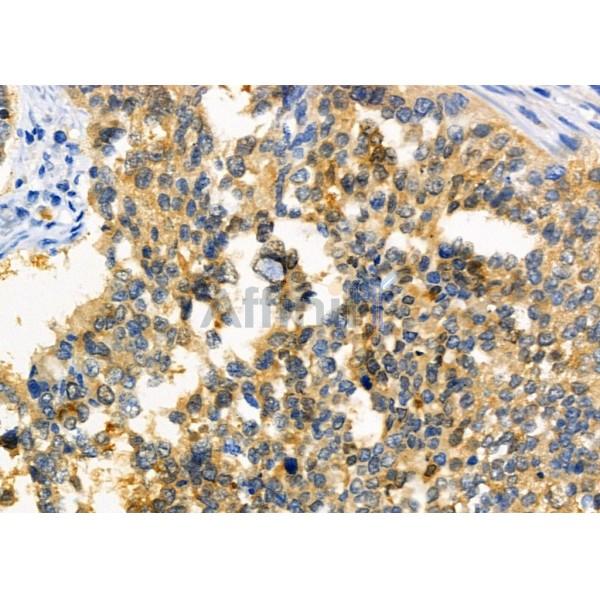
Application: | WB IHC IF/ICC |
Cited expt.: | IF/ICC |
Reactivity: | Human, Mouse, Rat |
Prediction: | Pig, Bovine, Horse, Sheep, Rabbit, Dog, Chicken |
Mol.Wt.: | 81kDa; 83kD(Calculated). |
Uniprot: | Q9UPW6 |
RRID: | AB_2840944 |
Related Downloads
Protocols
Product Info
*The optimal dilutions should be determined by the end user.
*Tips:
WB: For western blot detection of denatured protein samples. IHC: For immunohistochemical detection of paraffin sections (IHC-p) or frozen sections (IHC-f) of tissue samples. IF/ICC: For immunofluorescence detection of cell samples. ELISA(peptide): For ELISA detection of antigenic peptide.
Cite Format: Affinity Biosciences Cat# DF2962, RRID:AB_2840944.
Fold/Unfold
DNA binding protein SATB2; DNA-binding protein SATB2; FLJ21474; FLJ32076; GLSS; KIAA1034; MGC119474; MGC119477; SATB family member 2; SATB homeobox 2; SATB2; SATB2_HUMAN; Special AT rich sequence binding protein 2; Special AT-rich sequence-binding protein 2;
Immunogens
A synthesized peptide derived from human SATB2, corresponding to a region within the internal amino acids.
High expression in adult brain, moderate expression in fetal brain, and weak expression in adult liver, kidney, and spinal cord and in select brain regions, including amygdala, corpus callosum, caudate nucleus, and hippocampus.
- Q9UPW6 SATB2_HUMAN:
- Protein BLAST With
- NCBI/
- ExPASy/
- Uniprot
MERRSESPCLRDSPDRRSGSPDVKGPPPVKVARLEQNGSPMGARGRPNGAVAKAVGGLMIPVFCVVEQLDGSLEYDNREEHAEFVLVRKDVLFSQLVETALLALGYSHSSAAQAQGIIKLGRWNPLPLSYVTDAPDATVADMLQDVYHVVTLKIQLQSCSKLEDLPAEQWNHATVRNALKELLKEMNQSTLAKECPLSQSMISSIVNSTYYANVSATKCQEFGRWYKKYKKIKVERVERENLSDYCVLGQRPMHLPNMNQLASLGKTNEQSPHSQIHHSTPIRNQVPALQPIMSPGLLSPQLSPQLVRQQIAMAHLINQQIAVSRLLAHQHPQAINQQFLNHPPIPRAVKPEPTNSSVEVSPDIYQQVRDELKRASVSQAVFARVAFNRTQGLLSEILRKEEDPRTASQSLLVNLRAMQNFLNLPEVERDRIYQDERERSMNPNVSMVSSASSSPSSSRTPQAKTSTPTTDLPIKVDGANINITAAIYDEIQQEMKRAKVSQALFAKVAANKSQGWLCELLRWKENPSPENRTLWENLCTIRRFLNLPQHERDVIYEEESRHHHSERMQHVVQLPPEPVQVLHRQQSQPAKESSPPREEAPPPPPPTEDSCAKKPRSRTKISLEALGILQSFIHDVGLYPDQEAIHTLSAQLDLPKHTIIKFFQNQRYHVKHHGKLKEHLGSAVDVAEYKDEELLTESEENDSEEGSEEMYKVEAEEENADKSKAAPAEIDQR
Predictions
Score>80(red) has high confidence and is suggested to be used for WB detection. *The prediction model is mainly based on the alignment of immunogen sequences, the results are for reference only, not as the basis of quality assurance.
High(score>80) Medium(80>score>50) Low(score<50) No confidence
Research Backgrounds
Binds to DNA, at nuclear matrix- or scaffold-associated regions. Thought to recognize the sugar-phosphate structure of double-stranded DNA. Transcription factor controlling nuclear gene expression, by binding to matrix attachment regions (MARs) of DNA and inducing a local chromatin-loop remodeling. Acts as a docking site for several chromatin remodeling enzymes and also by recruiting corepressors (HDACs) or coactivators (HATs) directly to promoters and enhancers. Required for the initiation of the upper-layer neurons (UL1) specific genetic program and for the inactivation of deep-layer neurons (DL) and UL2 specific genes, probably by modulating BCL11B expression. Repressor of Ctip2 and regulatory determinant of corticocortical connections in the developing cerebral cortex. May play an important role in palate formation. Acts as a molecular node in a transcriptional network regulating skeletal development and osteoblast differentiation.
Sumoylated by PIAS1. Sumoylation promotes nuclear localization, but represses transcription factor activity.
Nucleus matrix.
High expression in adult brain, moderate expression in fetal brain, and weak expression in adult liver, kidney, and spinal cord and in select brain regions, including amygdala, corpus callosum, caudate nucleus, and hippocampus.
Belongs to the CUT homeobox family.
References
Application: IF/ICC Species: Mouse Sample:
Restrictive clause
Affinity Biosciences tests all products strictly. Citations are provided as a resource for additional applications that have not been validated by Affinity Biosciences. Please choose the appropriate format for each application and consult Materials and Methods sections for additional details about the use of any product in these publications.
For Research Use Only.
Not for use in diagnostic or therapeutic procedures. Not for resale. Not for distribution without written consent. Affinity Biosciences will not be held responsible for patent infringement or other violations that may occur with the use of our products. Affinity Biosciences, Affinity Biosciences Logo and all other trademarks are the property of Affinity Biosciences LTD.