Product: Defensin alpha 4 Antibody
Catalog: DF8529
Description: Rabbit polyclonal antibody to Defensin alpha 4
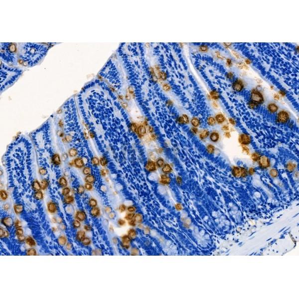
Application: WB IHC
Reactivity: Human, Mouse, Rat
Mol.Wt.: 10 kDa; 11kD(Calculated).
Uniprot: P12838
RRID: AB_2841733

View similar products>>

   Size Price Inventory
 100ul $280 In stock
 200ul $350 In stock

Lead Time: Same day delivery

For pricing and ordering contact:
Local distributors

Product Info

Source:
Rabbit
Application:
WB 1:1000-3000, IHC 1:50-1:200
*The optimal dilutions should be determined by the end user. For optimal experimental results, antibody reuse is not recommended.
*Tips:

WB: For western blot detection of denatured protein samples. IHC: For immunohistochemical detection of paraffin sections (IHC-p) or frozen sections (IHC-f) of tissue samples. IF/ICC: For immunofluorescence detection of cell samples. ELISA(peptide): For ELISA detection of antigenic peptide.

Reactivity:
Human,Mouse,Rat
Clonality:
Polyclonal
Specificity:
Defensin alpha 4 Antibody detects endogenous levels of total Defensin alpha 4.
RRID:
AB_2841733
Cite Format: Affinity Biosciences Cat# DF8529, RRID:AB_2841733.
Conjugate:
Unconjugated.
Purification:
The antiserum was purified by peptide affinity chromatography using SulfoLink™ Coupling Resin (Thermo Fisher Scientific).
Storage:
Rabbit IgG in phosphate buffered saline , pH 7.4, 150mM NaCl, 0.02% sodium azide and 50% glycerol. Store at -20 °C. Stable for 12 months from date of receipt.
Alias:

Fold/Unfold

Corticostatin; DEF4; DEFA4; Defensin, alpha 4; Defensin, alpha 4, corticostatin; Defensin, alpha 4, preproprotein; HNP 4; HP 4;

Immunogens

Immunogen:

A synthesized peptide derived from human Defensin alpha 4, corresponding to a region within the internal amino acids.

Uniprot:
Gene(ID):
Sequence:
MRIIALLAAILLVALQVRAGPLQARGDEAPGQEQRGPEDQDISISFAWDKSSALQVSGSTRGMVCSCRLVFCRRTELRVGNCLIGGVSFTYCCTRVD

Research Backgrounds

Function:

Has antimicrobial activity against Gram-negative bacteria, and to a lesser extent also against Gram-positive bacteria and fungi. Protects blood cells against infection with HIV-1 (in vitro). Inhibits corticotropin (ACTH)-stimulated corticosterone production.

Subcellular Location:

Secreted.

Extracellular region or secreted Cytosol Plasma membrane Cytoskeleton Lysosome Endosome Peroxisome ER Golgi apparatus Nucleus Mitochondrion Manual annotation Automatic computational assertionSubcellular location
Family&Domains:

Belongs to the alpha-defensin family.

Restrictive clause

 

Affinity Biosciences tests all products strictly. Citations are provided as a resource for additional applications that have not been validated by Affinity Biosciences. Please choose the appropriate format for each application and consult Materials and Methods sections for additional details about the use of any product in these publications.

For Research Use Only.
Not for use in diagnostic or therapeutic procedures. Not for resale. Not for distribution without written consent. Affinity Biosciences will not be held responsible for patent infringement or other violations that may occur with the use of our products. Affinity Biosciences, Affinity Biosciences Logo and all other trademarks are the property of Affinity Biosciences LTD.