Product: ZNF7 Antibody
Catalog: DF8791
Description: Rabbit polyclonal antibody to ZNF7
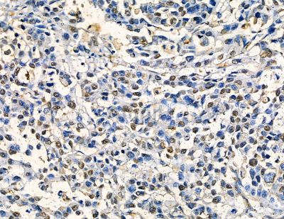
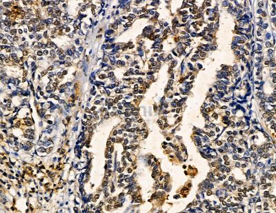
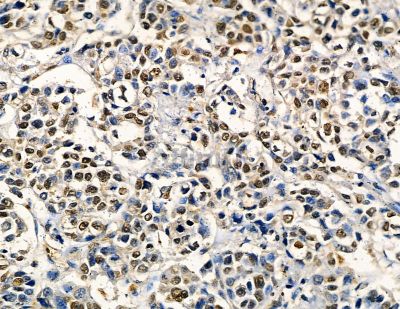
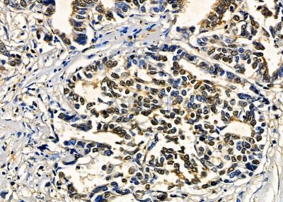
Application: WB IHC
Reactivity: Human, Mouse
Prediction: Pig, Sheep
Mol.Wt.: 77 kDa; 78kD(Calculated).
Uniprot: P17097
RRID: AB_2841989

View similar products>>

   Size Price Inventory
 100ul $280 In stock
 200ul $350 In stock

Lead Time: Same day delivery

For pricing and ordering contact:
Local distributors

Product Info

Source:
Rabbit
Application:
WB 1:1000-3000, IHC 1:50-1:200
*The optimal dilutions should be determined by the end user. For optimal experimental results, antibody reuse is not recommended.
*Tips:

WB: For western blot detection of denatured protein samples. IHC: For immunohistochemical detection of paraffin sections (IHC-p) or frozen sections (IHC-f) of tissue samples. IF/ICC: For immunofluorescence detection of cell samples. ELISA(peptide): For ELISA detection of antigenic peptide.

Reactivity:
Human,Mouse
Prediction:
Pig(88%), Sheep(88%)
Clonality:
Polyclonal
Specificity:
ZNF7 Antibody detects endogenous levels of total ZNF7.
RRID:
AB_2841989
Cite Format: Affinity Biosciences Cat# DF8791, RRID:AB_2841989.
Conjugate:
Unconjugated.
Purification:
The antiserum was purified by peptide affinity chromatography using SulfoLink™ Coupling Resin (Thermo Fisher Scientific).
Storage:
Rabbit IgG in phosphate buffered saline , pH 7.4, 150mM NaCl, 0.02% sodium azide and 50% glycerol. Store at -20 °C. Stable for 12 months from date of receipt.
Alias:

Fold/Unfold

C2 H2 type zinc finger protein; FLJ38706; HF.16; KOX 4; KOX4; Zf 30; Zf30; zinc finger protein 7 (KOX 4, clone HF.16); Zinc finger protein 7; Zinc finger protein HF.16; Zinc finger protein KOX4; Zinc finger protein zfp30; Zinc finger protein-7 (KOX4); ZNF 7; ZNF7; ZNF7_HUMAN;

Immunogens

Immunogen:

A synthesized peptide derived from human ZNF7, corresponding to a region within the internal amino acids.

Uniprot:
Gene(ID):
Expression:
P17097 ZNF7_HUMAN:

Ubiquitously present in many human cell lines of different embryological derivation.

Sequence:
MEVVTFGDVAVHFSREEWQCLDPGQRALYREVMLENHSSVAGLAGFLVFKPELISRLEQGEEPWVLDLQGAEGTEAPRTSKTDSTIRTENEQACEDMDILKSESYGTVVRISPQDFPQNPGFGDVSDSEVWLDSHLGSPGLKVTGFTFQNNCLNEETVVPKTFTKDAPQGCKELGSSGLDCQPLESQGESAEGMSQRCEECGKGIRATSDIALHWEINTQKISRCQECQKKLSDCLQGKHTNNCHGEKPYECAECGKVFRLCSQLNQHQRIHTGEKPFKCTECGKAFRLSSKLIQHQRIHTGEKPYRCEECGKAFGQSSSLIHHQRIHTGERPYGCRECGKAFSQQSQLVRHQRTHTGERPYPCKECGKAFSQSSTLAQHQRMHTGEKAQILKASDSPSLVAHQRIHAVEKPFKCDECGKAFRWISRLSQHQLIHTGEKPYKCNKCTKAFGCSSRLIRHQRTHTGEKPFKCDECGKGFVQGSHLIQHQRIHTGEKPYVCNDCGKAFSQSSSLIYHQRIHKGEKPYECLQCGKAFSMSTQLTIHQRVHTGERPYKCNECGKAFSQNSTLFQHQIIHAGVKPYECSECGKAFSRSSYLIEHQRIHTRAQWFYEYGNALEGSTFVSRKKVNTIKKLHQCEDCEKIFRWRSHLIIHQRIHTGEKPYKCNDCGKAFNRSSRLTQHQKIHMG

Predictions

Predictions:

Score>80(red) has high confidence and is suggested to be used for WB detection. *The prediction model is mainly based on the alignment of immunogen sequences, the results are for reference only, not as the basis of quality assurance.

Species
Results
Score
Pig
88
Sheep
88
Bovine
75
Horse
0
Dog
0
Xenopus
0
Zebrafish
0
Chicken
0
Rabbit
0
Model Confidence:
High(score>80) Medium(80>score>50) Low(score<50) No confidence

Research Backgrounds

Function:

May be involved in transcriptional regulation.

Subcellular Location:

Nucleus.

Extracellular region or secreted Cytosol Plasma membrane Cytoskeleton Lysosome Endosome Peroxisome ER Golgi apparatus Nucleus Mitochondrion Manual annotation Automatic computational assertionSubcellular location
Tissue Specificity:

Ubiquitously present in many human cell lines of different embryological derivation.

Family&Domains:

Belongs to the krueppel C2H2-type zinc-finger protein family.

Restrictive clause

 

Affinity Biosciences tests all products strictly. Citations are provided as a resource for additional applications that have not been validated by Affinity Biosciences. Please choose the appropriate format for each application and consult Materials and Methods sections for additional details about the use of any product in these publications.

For Research Use Only.
Not for use in diagnostic or therapeutic procedures. Not for resale. Not for distribution without written consent. Affinity Biosciences will not be held responsible for patent infringement or other violations that may occur with the use of our products. Affinity Biosciences, Affinity Biosciences Logo and all other trademarks are the property of Affinity Biosciences LTD.