Product: PLXDC2 Antibody
Catalog: DF8840
Description: Rabbit polyclonal antibody to PLXDC2
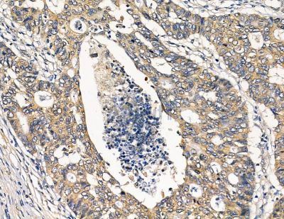
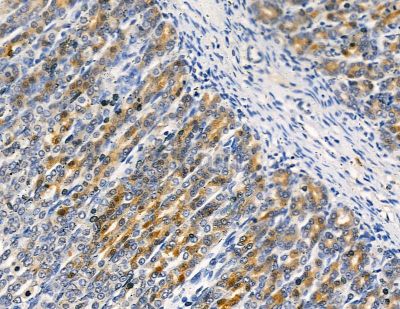
Application: WB IHC IF/ICC
Reactivity: Human, Mouse
Prediction: Pig, Zebrafish, Bovine, Horse, Sheep, Rabbit, Dog, Chicken, Xenopus
Mol.Wt.: 60~80 kDa; 60kD(Calculated).
Uniprot: Q6UX71
RRID: AB_2842037

View similar products>>

   Size Price Inventory
 100ul $280 In stock
 200ul $350 In stock

Lead Time: Same day delivery

For pricing and ordering contact:
Local distributors

Product Info

Source:
Rabbit
Application:
IF/ICC 1:100-1:500, IHC 1:50-1:200, WB 1:1000-3000
*The optimal dilutions should be determined by the end user. For optimal experimental results, antibody reuse is not recommended.
*Tips:

WB: For western blot detection of denatured protein samples. IHC: For immunohistochemical detection of paraffin sections (IHC-p) or frozen sections (IHC-f) of tissue samples. IF/ICC: For immunofluorescence detection of cell samples. ELISA(peptide): For ELISA detection of antigenic peptide.

Reactivity:
Human,Mouse
Prediction:
Pig(100%), Zebrafish(100%), Bovine(100%), Horse(100%), Sheep(100%), Rabbit(100%), Dog(100%), Chicken(100%), Xenopus(100%)
Clonality:
Polyclonal
Specificity:
PLXDC2 Antibody detects endogenous levels of total PLXDC2.
RRID:
AB_2842037
Cite Format: Affinity Biosciences Cat# DF8840, RRID:AB_2842037.
Conjugate:
Unconjugated.
Purification:
The antiserum was purified by peptide affinity chromatography using SulfoLink™ Coupling Resin (Thermo Fisher Scientific).
Storage:
Rabbit IgG in phosphate buffered saline , pH 7.4, 150mM NaCl, 0.02% sodium azide and 50% glycerol. Store at -20 °C. Stable for 12 months from date of receipt.
Alias:

Fold/Unfold

FLJ14623; Plexin domain containing 2; Plexin domain containing protein 2; Plexin domain-containing protein 2; PLXDC 2; plxdc2; PXDC2_HUMAN; TEM7R; Tumor endothelial marker 7 related protein; Tumor endothelial marker 7-related protein;

Immunogens

Immunogen:

A synthesized peptide derived from human PLXDC2, corresponding to a region within the internal amino acids.

Uniprot:
Gene(ID):
Expression:
Q6UX71 PXDC2_HUMAN:

Expressed in the endothelial cells of the stroma but not in the endothelial cells of normal colonic tissue.

Sequence:
MARFPKADLAAAGVMLLCHFFTDQFQFADGKPGDQILDWQYGVTQAFPHTEEEVEVDSHAYSHRWKRNLDFLKAVDTNRASVGQDSPEPRSFTDLLLDDGQDNNTQIEEDTDHNYYISRIYGPSDSASRDLWVNIDQMEKDKVKIHGILSNTHRQAARVNLSFDFPFYGHFLREITVATGGFIYTGEVVHRMLTATQYIAPLMANFDPSVSRNSTVRYFDNGTALVVQWDHVHLQDNYNLGSFTFQATLLMDGRIIFGYKEIPVLVTQISSTNHPVKVGLSDAFVVVHRIQQIPNVRRRTIYEYHRVELQMSKITNISAVEMTPLPTCLQFNRCGPCVSSQIGFNCSWCSKLQRCSSGFDRHRQDWVDSGCPEESKEKMCENTEPVETSSRTTTTVGATTTQFRVLTTTRRAVTSQFPTSLPTEDDTKIALHLKDNGASTDDSAAEKKGGTLHAGLIIGILILVLIVATAILVTVYMYHHPTSAASIFFIERRPSRWPAMKFRRGSGHPAYAEVEPVGEKEGFIVSEQC

Predictions

Predictions:

Score>80(red) has high confidence and is suggested to be used for WB detection. *The prediction model is mainly based on the alignment of immunogen sequences, the results are for reference only, not as the basis of quality assurance.

Species
Results
Score
Pig
100
Horse
100
Bovine
100
Sheep
100
Dog
100
Xenopus
100
Zebrafish
100
Chicken
100
Rabbit
100
Model Confidence:
High(score>80) Medium(80>score>50) Low(score<50) No confidence

Research Backgrounds

Function:

May play a role in tumor angiogenesis.

Subcellular Location:

Membrane>Single-pass type I membrane protein.

Extracellular region or secreted Cytosol Plasma membrane Cytoskeleton Lysosome Endosome Peroxisome ER Golgi apparatus Nucleus Mitochondrion Manual annotation Automatic computational assertionSubcellular location
Tissue Specificity:

Expressed in the endothelial cells of the stroma but not in the endothelial cells of normal colonic tissue.

Family&Domains:

Belongs to the plexin family.

Restrictive clause

 

Affinity Biosciences tests all products strictly. Citations are provided as a resource for additional applications that have not been validated by Affinity Biosciences. Please choose the appropriate format for each application and consult Materials and Methods sections for additional details about the use of any product in these publications.

For Research Use Only.
Not for use in diagnostic or therapeutic procedures. Not for resale. Not for distribution without written consent. Affinity Biosciences will not be held responsible for patent infringement or other violations that may occur with the use of our products. Affinity Biosciences, Affinity Biosciences Logo and all other trademarks are the property of Affinity Biosciences LTD.