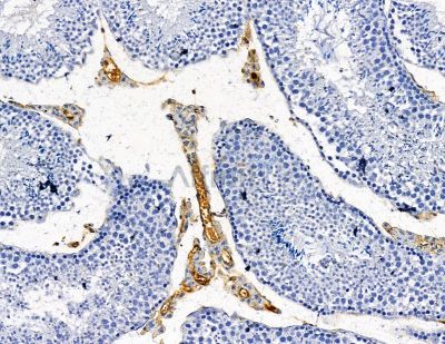
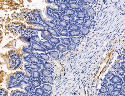
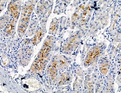
Collagen VIII alpha 2 Antibody - #DF8903

Product: | Collagen VIII alpha 2 Antibody |
Catalog: | DF8903 |
Description: | Rabbit polyclonal antibody to Collagen VIII alpha 2 |
Application: | WB IHC IF/ICC |
Reactivity: | Human, Mouse, Rat |
Prediction: | Pig, Zebrafish, Bovine, Horse, Rabbit, Dog |
Mol.Wt.: | 67 kDa; 67kD(Calculated). |
Uniprot: | P25067 |
RRID: | AB_2842099 |
Product Info
*The optimal dilutions should be determined by the end user.
*Tips:
WB: For western blot detection of denatured protein samples. IHC: For immunohistochemical detection of paraffin sections (IHC-p) or frozen sections (IHC-f) of tissue samples. IF/ICC: For immunofluorescence detection of cell samples. ELISA(peptide): For ELISA detection of antigenic peptide.
Cite Format: Affinity Biosciences Cat# DF8903, RRID:AB_2842099.
Fold/Unfold
AI429819; Collagen, type VIII, alpha 2; FECD; FECD1; FLJ00201; MGC116970; MGC116972; MGC90765; PPCD; PPCD2; RP23-113P22.2; RP4-665N4.3;
Immunogens
A synthesized peptide derived from human Collagen VIII alpha 2, corresponding to a region within the internal amino acids.
Expressed primarily in the subendothelium of large blood vessels. Also expressed in arterioles and venules in muscle, heart, kidney, spleen, umbilical cord, liver and lung and is also found in connective tissue layers around hair follicles, around nerve bundles in muscle, in the dura of the optic nerve, in cornea and sclera, and in the perichondrium of cartilaginous tissues. In the kidney, expressed in mesangial cells, glomerular endothelial cells, and tubular epithelial cells. Also expressed in mast cells, and in astrocytes during the repair process. Expressed in Descemet's membrane.
- P25067 CO8A2_HUMAN:
- Protein BLAST With
- NCBI/
- ExPASy/
- Uniprot
MLGTLTPLSSLLLLLLVLVLGCGPRASSGGGAGGAAGYAPVKYIQPMQKGPVGPPFREGKGQYLEMPLPLLPMDLKGEPGPPGKPGPRGPPGPPGFPGKPGMGKPGLHGQPGPAGPPGFSRMGKAGPPGLPGKVGPPGQPGLRGEPGIRGDQGLRGPPGPPGLPGPSGITIPGKPGAQGVPGPPGFQGEPGPQGEPGPPGDRGLKGDNGVGQPGLPGAPGQGGAPGPPGLPGPAGLGKPGLDGLPGAPGDKGESGPPGVPGPRGEPGAVGPKGPPGVDGVGVPGAAGLPGPQGPSGAKGEPGTRGPPGLIGPTGYGMPGLPGPKGDRGPAGVPGLLGDRGEPGEDGEPGEQGPQGLGGPPGLPGSAGLPGRRGPPGPKGEAGPGGPPGVPGIRGDQGPSGLAGKPGVPGERGLPGAHGPPGPTGPKGEPGFTGRPGGPGVAGALGQKGDLGLPGQPGLRGPSGIPGLQGPAGPIGPQGLPGLKGEPGLPGPPGEGRAGEPGTAGPTGPPGVPGSPGITGPPGPPGPPGPPGAPGAFDETGIAGLHLPNGGVEGAVLGKGGKPQFGLGELSAHATPAFTAVLTSPFPASGMPVKFDRTLYNGHSGYNPATGIFTCPVGGVYYFAYHVHVKGTNVWVALYKNNVPATYTYDEYKKGYLDQASGGAVLQLRPNDQVWVQMPSDQANGLYSTEYIHSSFSGFLLCPT
Predictions
Score>80(red) has high confidence and is suggested to be used for WB detection. *The prediction model is mainly based on the alignment of immunogen sequences, the results are for reference only, not as the basis of quality assurance.
High(score>80) Medium(80>score>50) Low(score<50) No confidence
Research Backgrounds
Macromolecular component of the subendothelium. Major component of the Descemet's membrane (basement membrane) of corneal endothelial cells. Also component of the endothelia of blood vessels. Necessary for migration and proliferation of vascular smooth muscle cells and thus, has a potential role in the maintenance of vessel wall integrity and structure, in particular in atherogenesis (By similarity).
Proteolytically cleaved by neutrophil elastase, in vitro.
Prolines at the third position of the tripeptide repeating unit (G-X-Y) are hydroxylated in some or all of the chains.
Secreted>Extracellular space>Extracellular matrix>Basement membrane.
Expressed primarily in the subendothelium of large blood vessels. Also expressed in arterioles and venules in muscle, heart, kidney, spleen, umbilical cord, liver and lung and is also found in connective tissue layers around hair follicles, around nerve bundles in muscle, in the dura of the optic nerve, in cornea and sclera, and in the perichondrium of cartilaginous tissues. In the kidney, expressed in mesangial cells, glomerular endothelial cells, and tubular epithelial cells. Also expressed in mast cells, and in astrocytes during the repair process. Expressed in Descemet's membrane.
References
Restrictive clause
Affinity Biosciences tests all products strictly. Citations are provided as a resource for additional applications that have not been validated by Affinity Biosciences. Please choose the appropriate format for each application and consult Materials and Methods sections for additional details about the use of any product in these publications.
For Research Use Only.
Not for use in diagnostic or therapeutic procedures. Not for resale. Not for distribution without written consent. Affinity Biosciences will not be held responsible for patent infringement or other violations that may occur with the use of our products. Affinity Biosciences, Affinity Biosciences Logo and all other trademarks are the property of Affinity Biosciences LTD.