HSBP1 Antibody - #DF8954

Product: | HSBP1 Antibody |
Catalog: | DF8954 |
Description: | Rabbit polyclonal antibody to HSBP1 |
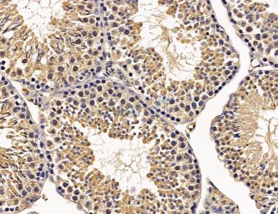
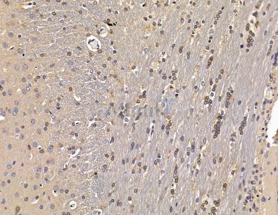
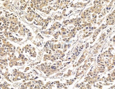
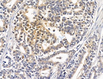
Application: | WB IHC |
Cited expt.: | WB |
Reactivity: | Human, Mouse, Rat |
Prediction: | Pig, Bovine, Horse, Rabbit, Dog, Chicken, Xenopus |
Mol.Wt.: | 9kDa; 9kD(Calculated). |
Uniprot: | O75506 |
RRID: | AB_2842150 |
Product Info
*The optimal dilutions should be determined by the end user.
*Tips:
WB: For western blot detection of denatured protein samples. IHC: For immunohistochemical detection of paraffin sections (IHC-p) or frozen sections (IHC-f) of tissue samples. IF/ICC: For immunofluorescence detection of cell samples. ELISA(peptide): For ELISA detection of antigenic peptide.
Cite Format: Affinity Biosciences Cat# DF8954, RRID:AB_2842150.
Fold/Unfold
Heat shock factor binding protein 1; Heat shock factor-binding protein 1; HSBP1; HSBP1_HUMAN; HSF1BP; Nasopharyngeal carcinoma associated antigen 13; Nasopharyngeal carcinoma-associated antigen 13; NPC A 13; NPC-A-13; NPCA 13;
Immunogens
A synthesized peptide derived from human HSBP1, corresponding to a region within the internal amino acids.
- O75506 HSBP1_HUMAN:
- Protein BLAST With
- NCBI/
- ExPASy/
- Uniprot
MAETDPKTVQDLTSVVQTLLQQMQDKFQTMSDQIIGRIDDMSSRIDDLEKNIADLMTQAGVEELESENKIPATQKS
Predictions
Score>80(red) has high confidence and is suggested to be used for WB detection. *The prediction model is mainly based on the alignment of immunogen sequences, the results are for reference only, not as the basis of quality assurance.
High(score>80) Medium(80>score>50) Low(score<50) No confidence
Research Backgrounds
Negative regulator of the heat shock response. Negatively affects HSF1 DNA-binding activity. May have a role in the suppression of the activation of the stress response during the aging process.
Nucleus.
Belongs to the HSBP1 family.
References
Application: WB Species: human Sample: A2780 cells
Restrictive clause
Affinity Biosciences tests all products strictly. Citations are provided as a resource for additional applications that have not been validated by Affinity Biosciences. Please choose the appropriate format for each application and consult Materials and Methods sections for additional details about the use of any product in these publications.
For Research Use Only.
Not for use in diagnostic or therapeutic procedures. Not for resale. Not for distribution without written consent. Affinity Biosciences will not be held responsible for patent infringement or other violations that may occur with the use of our products. Affinity Biosciences, Affinity Biosciences Logo and all other trademarks are the property of Affinity Biosciences LTD.