MAF1 Antibody - #DF9079

Product: | MAF1 Antibody |
Catalog: | DF9079 |
Description: | Rabbit polyclonal antibody to MAF1 |
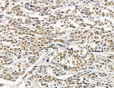
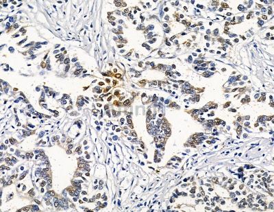
Application: | WB IHC |
Reactivity: | Human, Mouse, Rat |
Prediction: | Bovine, Horse, Sheep, Xenopus |
Mol.Wt.: | 29kDa; 29kD(Calculated). |
Uniprot: | Q9H063 |
RRID: | AB_2842275 |
Product Info
*The optimal dilutions should be determined by the end user.
*Tips:
WB: For western blot detection of denatured protein samples. IHC: For immunohistochemical detection of paraffin sections (IHC-p) or frozen sections (IHC-f) of tissue samples. IF/ICC: For immunofluorescence detection of cell samples. ELISA(peptide): For ELISA detection of antigenic peptide.
Cite Format: Affinity Biosciences Cat# DF9079, RRID:AB_2842275.
Fold/Unfold
Homolog of yeast MAF1; maf1; MAF1 homolog (S. cerevisiae); MAF1 homolog; MAF1_HUMAN; MGC20332; MGC31779; MGC39758; Repressor of RNA polymerase III transcription MAF1 homolog;
Immunogens
A synthesized peptide derived from human MAF1, corresponding to a region within the internal amino acids.
- Q9H063 MAF1_HUMAN:
- Protein BLAST With
- NCBI/
- ExPASy/
- Uniprot
MKLLENSSFEAINSQLTVETGDAHIIGRIESYSCKMAGDDKHMFKQFCQEGQPHVLEALSPPQTSGLSPSRLSKSQGGEEEGPLSDKCSRKTLFYLIATLNESFRPDYDFSTARSHEFSREPSLSWVVNAVNCSLFSAVREDFKDLKPQLWNAVDEEICLAECDIYSYNPDLDSDPFGEDGSLWSFNYFFYNKRLKRIVFFSCRSISGSTYTPSEAGNELDMELGEEEVEEESRSGGSGAEETSTMEEDRVPVICI
Predictions
Score>80(red) has high confidence and is suggested to be used for WB detection. *The prediction model is mainly based on the alignment of immunogen sequences, the results are for reference only, not as the basis of quality assurance.
High(score>80) Medium(80>score>50) Low(score<50) No confidence
Research Backgrounds
Plays a role in the repression of RNA polymerase III-mediated transcription in response to changing nutritional, environmental and cellular stress conditions to balance the production of highly abundant tRNAs, 5S rRNA, and other small non-coding RNAs with cell growth and maintenance. Plays also a key role in cell fate determination by promoting mesorderm induction and adipocyte differentiation (By similarity). Mechanistically, associates with the RNA polymerase III clamp and thereby impairs its recruitment to the complex made of the promoter DNA, TBP and the initiation factor TFIIIB. When nutrients are available and mTOR kinase is active, MAF1 is hyperphosphorylated and RNA polymerase III is engaged in transcription. Stress-induced MAF1 dephosphorylation results in nuclear localization, increased targeting of gene-bound RNA polymerase III and a decrease in the transcriptional readout. Additionally, may also regulate RNA polymerase I and RNA polymerase II-dependent transcription through its ability to regulate expression of the central initiation factor TBP.
Phosphorylated at Ser-60, Ser-68 and Ser-75; the major sites of phosphorylation. Nuclear accumulation correlates with a concomitant dephosphorylation. Phosphorylation may attenuate its RNA polymerase III-repressive function.
Sumoylated with SUMO1 and SUMO2, mainly on Lys-35. Desumoylated by SENP1. SUMOylation promotes the ability of MAF1 to repress transcription and suppress colony formation.
Nucleus. Cytoplasm.
Belongs to the MAF1 family.
References
Restrictive clause
Affinity Biosciences tests all products strictly. Citations are provided as a resource for additional applications that have not been validated by Affinity Biosciences. Please choose the appropriate format for each application and consult Materials and Methods sections for additional details about the use of any product in these publications.
For Research Use Only.
Not for use in diagnostic or therapeutic procedures. Not for resale. Not for distribution without written consent. Affinity Biosciences will not be held responsible for patent infringement or other violations that may occur with the use of our products. Affinity Biosciences, Affinity Biosciences Logo and all other trademarks are the property of Affinity Biosciences LTD.