CATSPER1 Antibody - #DF9349

Product: | CATSPER1 Antibody |
Catalog: | DF9349 |
Description: | Rabbit polyclonal antibody to CATSPER1 |
Application: | WB IHC IF/ICC |
Cited expt.: | WB, IF/ICC |
Reactivity: | Human, Mouse |
Prediction: | Sheep, Rabbit |
Mol.Wt.: | 90 kDa; 90kD(Calculated). |
Uniprot: | Q8NEC5 |
RRID: | AB_2842545 |
Product Info
*The optimal dilutions should be determined by the end user.
*Tips:
WB: For western blot detection of denatured protein samples. IHC: For immunohistochemical detection of paraffin sections (IHC-p) or frozen sections (IHC-f) of tissue samples. IF/ICC: For immunofluorescence detection of cell samples. ELISA(peptide): For ELISA detection of antigenic peptide.
Cite Format: Affinity Biosciences Cat# DF9349, RRID:AB_2842545.
Fold/Unfold
Cation channel sperm associated 1; Cation channel sperm associated protein 1; Cation channel sperm-associated protein 1; CATSPER 1; CATSPER; CatSper1; CTSR1_HUMAN; hCatSper; MGC33335; MGC33368; Sperm associated cation channel 1; Sperm ion channel;
Immunogens
A synthesized peptide derived from human CATSPER1, corresponding to a region within N-terminal amino acids.
- Q8NEC5 CTSR1_HUMAN:
- Protein BLAST With
- NCBI/
- ExPASy/
- Uniprot
MDQNSVPEKAQNEADTNNADRFFRSHSSPPHHRPGHSRALHHYELHHHGVPHQRGESHHPPEFQDFHDQALSSHVHQSHHHSEARNHGRAHGPTGFGLAPSQGAVPSHRSYGEDYHDELQRDGRRHHDGSQYGGFHQQSDSHYHRGSHHGRPQYLGENLSHYSSGVPHHGEASHHGGSYLPHGPNPYSESFHHSEASHLSGLQHDESQHHQVPHRGWPHHHQVHHHGRSRHHEAHQHGKSPHHGETISPHSSVGSYQRGISDYHSEYHQGDHHPSEYHHGDHPHHTQHHYHQTHRHRDYHQHQDHHGAYHSSYLHGDYVQSTSQLSIPHTSRSLIHDAPGPAASRTGVFPYHVAHPRGSAHSMTRSSSTIRSRVTQMSKKVHTQDISTKHSEDWGKEEGQFQKRKTGRLQRTRKKGHSTNLFQWLWEKLTFLIQGFREMIRNLTQSLAFETFIFFVVCLNTVMLVAQTFAEVEIRGEWYFMALDSIFFCIYVVEALLKIIALGLSYFFDFWNNLDFFIMAMAVLDFLLMQTHSFAIYHQSLFRILKVFKSLRALRAIRVLRRLSFLTSVQEVTGTLGQSLPSIAAILILMFTCLFLFSAVLRALFRKSDPKRFQNIFTTIFTLFTLLTLDDWSLIYMDSRAQGAWYIIPILVIYIIIQYFIFLNLVITVLVDSFQTALFKGLEKAKQERAARIQEKLLEDSLTELRAAEPKEVASEGTMLKRLIEKKFGTMTEKQQELLFHYLQLVASVEQEQQKFRSQAAVIDEIVDTTFEAGEEDFRN
Predictions
Score>80(red) has high confidence and is suggested to be used for WB detection. *The prediction model is mainly based on the alignment of immunogen sequences, the results are for reference only, not as the basis of quality assurance.
High(score>80) Medium(80>score>50) Low(score<50) No confidence
Research Backgrounds
Voltage-gated calcium channel that plays a central role in calcium-dependent physiological responses essential for successful fertilization, such as sperm hyperactivation, acrosome reaction and chemotaxis towards the oocyte.
Cell projection>Cilium>Flagellum membrane>Multi-pass membrane protein.
Note: Specifically located in the principal piece of sperm tail.
Testis-specific.
Belongs to the cation channel sperm-associated (TC 1.A.1.19) family.
References
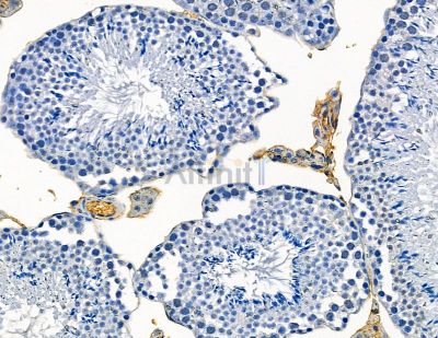
Application: WB Species: Human Sample: sperm cells
Application: IF/ICC Species: Human Sample: sperm cells
Restrictive clause
Affinity Biosciences tests all products strictly. Citations are provided as a resource for additional applications that have not been validated by Affinity Biosciences. Please choose the appropriate format for each application and consult Materials and Methods sections for additional details about the use of any product in these publications.
For Research Use Only.
Not for use in diagnostic or therapeutic procedures. Not for resale. Not for distribution without written consent. Affinity Biosciences will not be held responsible for patent infringement or other violations that may occur with the use of our products. Affinity Biosciences, Affinity Biosciences Logo and all other trademarks are the property of Affinity Biosciences LTD.