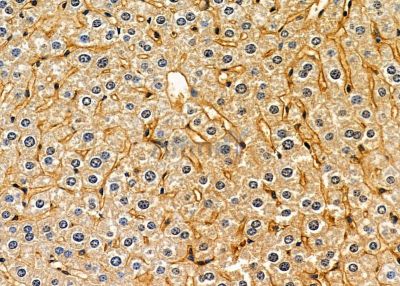
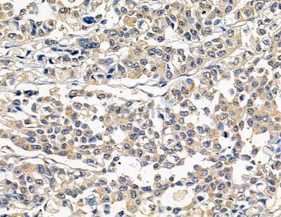
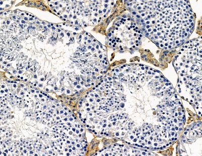
Product: RERG Antibody
Catalog: DF9811
Description: Rabbit polyclonal antibody to RERG
Application: WB IHC IF/ICC
Reactivity: Human, Mouse
Prediction: Pig, Bovine, Horse, Sheep, Rabbit, Dog, Xenopus
Mol.Wt.: 23 kDa; 23kD(Calculated).
Uniprot: Q96A58
RRID: AB_2843005

View similar products>>

   Size Price Inventory
 100ul $280 In stock
 200ul $350 In stock

Lead Time: Same day delivery

For pricing and ordering contact:
Local distributors

Product Info

Source:
Rabbit
Application:
IF/ICC 1:100-1:500, WB 1:1000-3000, IHC 1:50-1:200
*The optimal dilutions should be determined by the end user. For optimal experimental results, antibody reuse is not recommended.
*Tips:

WB: For western blot detection of denatured protein samples. IHC: For immunohistochemical detection of paraffin sections (IHC-p) or frozen sections (IHC-f) of tissue samples. IF/ICC: For immunofluorescence detection of cell samples. ELISA(peptide): For ELISA detection of antigenic peptide.

Reactivity:
Human,Mouse
Prediction:
Pig(100%), Bovine(100%), Horse(100%), Sheep(100%), Rabbit(100%), Dog(100%), Xenopus(86%)
Clonality:
Polyclonal
Specificity:
RERG Antibody detects endogenous levels of total RERG.
RRID:
AB_2843005
Cite Format: Affinity Biosciences Cat# DF9811, RRID:AB_2843005.
Conjugate:
Unconjugated.
Purification:
The antiserum was purified by peptide affinity chromatography using SulfoLink™ Coupling Resin (Thermo Fisher Scientific).
Storage:
Rabbit IgG in phosphate buffered saline , pH 7.4, 150mM NaCl, 0.02% sodium azide and 50% glycerol. Store at -20 °C. Stable for 12 months from date of receipt.
Alias:

Fold/Unfold

MGC15754; RAS like estrogen regulated growth inhibitor; Ras related and estrogen regulated growth inhibitor; Ras-related and estrogen-regulated growth inhibitor; Rerg; RERG_HUMAN; Weakly similar to N ras protein [H.sapiens];

Immunogens

Immunogen:

A synthesized peptide derived from human RERG, corresponding to a region within the internal amino acids.

Uniprot:
Gene(ID):
Expression:
Q96A58 RERG_HUMAN:

Detected in heart, brain, placenta, lung, liver, skin, kidney and pancreas. Detected in estrogen receptor-positive breast-derived cell lines, but not in estrogen receptor-negative cell lines. Expression is decreased or lost in a significant proportion of primary breast tumors with poor clinical prognosis.

Sequence:
MAKSAEVKLAIFGRAGVGKSALVVRFLTKRFIWEYDPTLESTYRHQATIDDEVVSMEILDTAGQEDTIQREGHMRWGEGFVLVYDITDRGSFEEVLPLKNILDEIKKPKNVTLILVGNKADLDHSRQVSTEEGEKLATELACAFYECSACTGEGNITEIFYELCREVRRRRMVQGKTRRRSSTTHVKQAINKMLTKISS

Predictions

Predictions:

Score>80(red) has high confidence and is suggested to be used for WB detection. *The prediction model is mainly based on the alignment of immunogen sequences, the results are for reference only, not as the basis of quality assurance.

Species
Results
Score
Pig
100
Horse
100
Bovine
100
Sheep
100
Dog
100
Rabbit
100
Xenopus
86
Zebrafish
0
Chicken
0
Model Confidence:
High(score>80) Medium(80>score>50) Low(score<50) No confidence

Research Backgrounds

Function:

Binds GDP/GTP and possesses intrinsic GTPase activity. Has higher affinity for GDP than for GTP. In cell lines overexpression leads to a reduction in the rate of proliferation, colony formation and in tumorigenic potential.

Subcellular Location:

Cytoplasm.

Extracellular region or secreted Cytosol Plasma membrane Cytoskeleton Lysosome Endosome Peroxisome ER Golgi apparatus Nucleus Mitochondrion Manual annotation Automatic computational assertionSubcellular location
Tissue Specificity:

Detected in heart, brain, placenta, lung, liver, skin, kidney and pancreas. Detected in estrogen receptor-positive breast-derived cell lines, but not in estrogen receptor-negative cell lines. Expression is decreased or lost in a significant proportion of primary breast tumors with poor clinical prognosis.

Family&Domains:

Belongs to the small GTPase superfamily. Ras family.

Restrictive clause

 

Affinity Biosciences tests all products strictly. Citations are provided as a resource for additional applications that have not been validated by Affinity Biosciences. Please choose the appropriate format for each application and consult Materials and Methods sections for additional details about the use of any product in these publications.

For Research Use Only.
Not for use in diagnostic or therapeutic procedures. Not for resale. Not for distribution without written consent. Affinity Biosciences will not be held responsible for patent infringement or other violations that may occur with the use of our products. Affinity Biosciences, Affinity Biosciences Logo and all other trademarks are the property of Affinity Biosciences LTD.