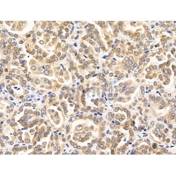
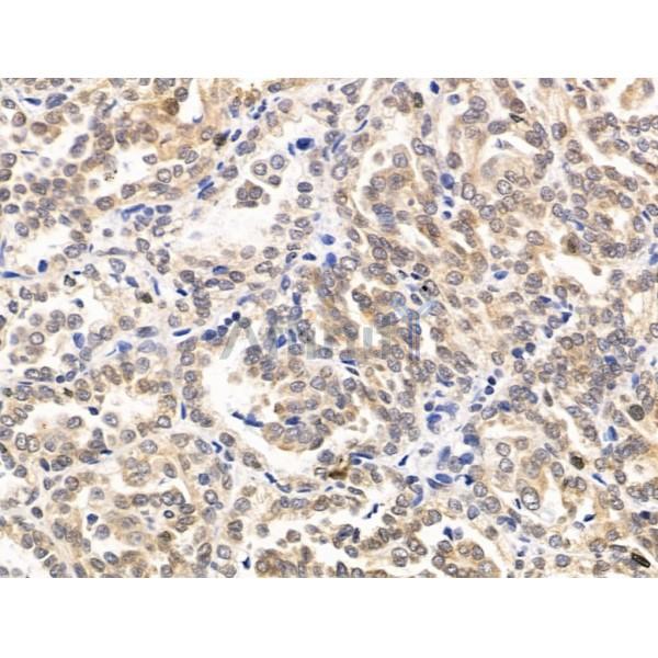
Product: RECQL5 Antibody
Catalog: DF13664
Description: Rabbit polyclonal antibody to RECQL5
Application: WB IHC IF/ICC
Reactivity: Human, Mouse, Rat
Prediction: Pig
Mol.Wt.: 108kDa; 109kD(Calculated).
Uniprot: O94762
RRID: AB_2846683

View similar products>>

   Size Price Inventory
 100ul $280 In stock
 200ul $350 In stock

Lead Time: Same day delivery

For pricing and ordering contact:
Local distributors

Product Info

Source:
Rabbit
Application:
IF/ICC 1:100-1:500, WB 1:500-1:2000, IHC 1:50-1:200
*The optimal dilutions should be determined by the end user. For optimal experimental results, antibody reuse is not recommended.
*Tips:

WB: For western blot detection of denatured protein samples. IHC: For immunohistochemical detection of paraffin sections (IHC-p) or frozen sections (IHC-f) of tissue samples. IF/ICC: For immunofluorescence detection of cell samples. ELISA(peptide): For ELISA detection of antigenic peptide.

Reactivity:
Human,Mouse,Rat
Prediction:
Pig(86%)
Clonality:
Polyclonal
Specificity:
RECQL5 Antibody detects endogenous levels of total RECQL5.
RRID:
AB_2846683
Cite Format: Affinity Biosciences Cat# DF13664, RRID:AB_2846683.
Conjugate:
Unconjugated.
Purification:
The antiserum was purified by peptide affinity chromatography using SulfoLink™ Coupling Resin (Thermo Fisher Scientific).
Storage:
Rabbit IgG in phosphate buffered saline , pH 7.4, 150mM NaCl, 0.02% sodium azide and 50% glycerol. Store at -20 °C. Stable for 12 months from date of receipt.
Alias:

Fold/Unfold

ATP-dependent DNA helicase Q5; DNA helicase; DNA helicase, RecQ like type 5; DNA helicase, RECQ-like, type 5; EC 3.6.1.-; FLJ90603; RecQ helicase protein-like 5 beta; RecQ protein-like 5; RecQ protein-like 5, isoform CRA_b; RecQ-like type 5; RecQ5; RECQ5_HUMAN; Recq5b; RECQL5; Recql5b;

Immunogens

Immunogen:

A synthesized peptide derived from human RECQL5, corresponding to a region within C-terminal amino acids.

Uniprot:
Gene(ID):
Expression:
O94762 RECQ5_HUMAN:

Ubiquitous.

Sequence:
MSSHHTTFPFDPERRVRSTLKKVFGFDSFKTPLQESATMAVVKGNKDVFVCMPTGAGKSLCYQLPALLAKGITIVVSPLIALIQDQVDHLLTLKVRVSSLNSKLSAQERKELLADLEREKPQTKILYITPEMAASSSFQPTLNSLVSRHLLSYLVVDEAHCVSQWGHDFRPDYLRLGALRSRLGHAPCVALTATATPQVQEDVFAALHLKKPVAIFKTPCFRANLFYDVQFKELISDPYGNLKDFCLKALGQEADKGLSGCGIVYCRTREACEQLAIELSCRGVNAKAYHAGLKASERTLVQNDWMEEKVPVIVATISFGMGVDKANVRFVAHWNIAKSMAGYYQESGRAGRDGKPSWCRLYYSRNDRDQVSFLIRKEVAKLQEKRGNKASDKATIMAFDALVTFCEELGCRHAAIAKYFGDALPACAKGCDHCQNPTAVRRRLEALERSSSWSKTCIGPSQGNGFDPELYEGGRKGYGDFSRYDEGSGGSGDEGRDEAHKREWNLFYQKQMQLRKGKDPKIEEFVPPDENCPLKEASSRRIPRLTVKAREHCLRLLEEALSSNRQSTRTADEADLRAKAVELEHETFRNAKVANLYKASVLKKVADIHRASKDGQPYDMGGSAKSCSAQAEPPEPNEYDIPPASHVYSLKPKRVGAGFPKGSCPFQTATELMETTRIREQAPQPERGGEHEPPSRPCGLLDEDGSEPLPGPRGEVPGGSAHYGGPSPEKKAKSSSGGSSLAKGRASKKQQLLATAAHKDSQSIARFFCRRVESPALLASAPEAEGACPSCEGVQGPPMAPEKYTGEEDGAGGHSPAPPQTEECLRERPSTCPPRDQGTPEVQPTPAKDTWKGKRPRSQQENPESQPQKRPRPSAKPSVVAEVKGSVSASEQGTLNPTAQDPFQLSAPGVSLKEAANVVVKCLTPFYKEGKFASKELFKGFARHLSHLLTQKTSPGRSVKEEAQNLIRHFFHGRARCESEADWHGLCGPQR

Predictions

Predictions:

Score>80(red) has high confidence and is suggested to be used for WB detection. *The prediction model is mainly based on the alignment of immunogen sequences, the results are for reference only, not as the basis of quality assurance.

Species
Results
Score
Pig
86
Horse
75
Sheep
57
Bovine
0
Dog
0
Xenopus
0
Zebrafish
0
Chicken
0
Rabbit
0
Model Confidence:
High(score>80) Medium(80>score>50) Low(score<50) No confidence

Research Backgrounds

Function:

Isoform beta is a DNA helicase that plays an important role in DNA replication, transcription and repair. Inhibits elongation of stalled transcripts at DNA damage sites by binding to the RNA polymerase II subunit POLR2A and blocking the TCEA1 binding site. Required for mitotic chromosome separation after cross-over events and cell cycle progress. Required for efficient DNA repair, including repair of inter-strand cross-links. Stimulates DNA decatenation mediated by TOP2A. Prevents sister chromatid exchange and homologous recombination.

Subcellular Location:

Nucleus>Nucleoplasm.
Note: Recruited to sites of DNA damage, such as single-strand breaks and inter-strand cross-links, and at stalled replication forks.

Cytoplasm.

Cytoplasm.

Extracellular region or secreted Cytosol Plasma membrane Cytoskeleton Lysosome Endosome Peroxisome ER Golgi apparatus Nucleus Mitochondrion Manual annotation Automatic computational assertionSubcellular location
Tissue Specificity:

Ubiquitous.

Family&Domains:

Belongs to the helicase family. RecQ subfamily.

Restrictive clause

 

Affinity Biosciences tests all products strictly. Citations are provided as a resource for additional applications that have not been validated by Affinity Biosciences. Please choose the appropriate format for each application and consult Materials and Methods sections for additional details about the use of any product in these publications.

For Research Use Only.
Not for use in diagnostic or therapeutic procedures. Not for resale. Not for distribution without written consent. Affinity Biosciences will not be held responsible for patent infringement or other violations that may occur with the use of our products. Affinity Biosciences, Affinity Biosciences Logo and all other trademarks are the property of Affinity Biosciences LTD.