Product: SDCCAG3 Antibody
Catalog: DF13676
Description: Rabbit polyclonal antibody to SDCCAG3
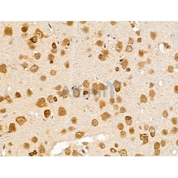
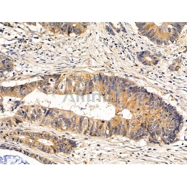
Application: WB IHC
Reactivity: Human, Rat
Mol.Wt.: 47kDa; 48kD(Calculated).
Uniprot: Q96C92
RRID: AB_2846695

View similar products>>

   Size Price Inventory
 100ul $280 In stock
 200ul $350 In stock

Lead Time: Same day delivery

For pricing and ordering contact:
Local distributors

Product Info

Source:
Rabbit
Application:
WB 1:500-1:2000, IHC 1:50-1:200
*The optimal dilutions should be determined by the end user. For optimal experimental results, antibody reuse is not recommended.
*Tips:

WB: For western blot detection of denatured protein samples. IHC: For immunohistochemical detection of paraffin sections (IHC-p) or frozen sections (IHC-f) of tissue samples. IF/ICC: For immunofluorescence detection of cell samples. ELISA(peptide): For ELISA detection of antigenic peptide.

Reactivity:
Human,Rat
Clonality:
Polyclonal
Specificity:
SDCCAG3 Antibody detects endogenous levels of total SDCCAG3.
RRID:
AB_2846695
Cite Format: Affinity Biosciences Cat# DF13676, RRID:AB_2846695.
Conjugate:
Unconjugated.
Purification:
The antiserum was purified by peptide affinity chromatography using SulfoLink™ Coupling Resin (Thermo Fisher Scientific).
Storage:
Rabbit IgG in phosphate buffered saline , pH 7.4, 150mM NaCl, 0.02% sodium azide and 50% glycerol. Store at -20 °C. Stable for 12 months from date of receipt.
Alias:

Fold/Unfold

Antigen NY CO 3; NY CO 3; NY-CO-3; OTTHUMP00000022582; SDCCAG 3; Serologically defined colon cancer antigen 3;

Immunogens

Immunogen:

A synthesized peptide derived from human SDCCAG3, corresponding to a region within N-terminal amino acids.

Uniprot:
Gene(ID):
Expression:
Q96C92 ENTR1_HUMAN:

Expressed in the colon (at protein level).

Sequence:
MSGYQRRPGATPLSRARSLAIPDAPAFYERRSCLPQLNCERPHGRDLDSPFFGIRPAFMCYVPSPVLASVGDTDFGYGKGKCSKQSPSGAHGTHFGDDRFEDLEEANPFSFREFLKTKNLGLSKEDPASRIYAKEASRHSLGLDHNSPPSQTGGYGLEYQQPFFEDPTGAGDLLDEEEDEDTGWSGAYLPSAIEQTHPERVPAGTSPCSTYLSFFSTPSELAGPESLPSWALSDTDSRVSPASPAGSPSADFAVHGESLGDRHLRTLQISYDALKDENSKLRRKLNEVQSFSEAQTEMVRTLERKLEAKMIKEESDYHDLESVVQQVEQNLELMTKRAVKAENHVVKLKQEISLLQAQVSNFQRENEALRCGQGASLTVVKQNADVALQNLRVVMNSAQASIKQLVSGAETLNLVAEILKSIDRISEVKDEEEDS

Research Backgrounds

Function:

Endosome-associated protein that plays a role in membrane receptor sorting, cytokinesis and ciliogenesis. Involved in the endosome-to-plasma membrane trafficking and recycling of SNX27-retromer-dependent cargo proteins, such as GLUT1. Involved in the regulation of cytokinesis; the function may involve PTPN13 and GIT1. Plays a role in the formation of cilia. Involved in cargo protein localization, such as PKD2, at primary cilia. Involved in the presentation of the tumor necrosis factor (TNF) receptor TNFRSF1A on the cell surface, and hence in the modulation of the TNF-induced apoptosis (By similarity).

PTMs:

Phosphorylated.

Subcellular Location:

Cytoplasm. Early endosome. Endosome. Recycling endosome. Midbody. Cytoplasm>Cytoskeleton>Microtubule organizing center>Centrosome. Cytoplasm>Cytoskeleton>Cilium basal body.
Note: Colocalizes in a WASHC2-dependent manner with the retromer CSC complex at endosomes (PubMed:25278552). During cytokinesis colocalized with PTPN13 at the midbody (PubMed:23108400). Colocalizes with IFT88 and gamma-tubulin at the basal body of primary cilia (PubMed:27767179). Colocalizes with IFT88 and pericentrin at the centrosome (PubMed:27767179).

Extracellular region or secreted Cytosol Plasma membrane Cytoskeleton Lysosome Endosome Peroxisome ER Golgi apparatus Nucleus Mitochondrion Manual annotation Automatic computational assertionSubcellular location
Tissue Specificity:

Expressed in the colon (at protein level).

Family&Domains:

Tne N-terminal domain is necessary and sufficient for basal body localization and ciliogenesis.

Belongs to the ENTR1 family.

Restrictive clause

 

Affinity Biosciences tests all products strictly. Citations are provided as a resource for additional applications that have not been validated by Affinity Biosciences. Please choose the appropriate format for each application and consult Materials and Methods sections for additional details about the use of any product in these publications.

For Research Use Only.
Not for use in diagnostic or therapeutic procedures. Not for resale. Not for distribution without written consent. Affinity Biosciences will not be held responsible for patent infringement or other violations that may occur with the use of our products. Affinity Biosciences, Affinity Biosciences Logo and all other trademarks are the property of Affinity Biosciences LTD.