Interleukin 34 Antibody - #DF13820

Related Downloads
Protocols
Product Info
*The optimal dilutions should be determined by the end user.
*Tips:
WB: For western blot detection of denatured protein samples. IHC: For immunohistochemical detection of paraffin sections (IHC-p) or frozen sections (IHC-f) of tissue samples. IF/ICC: For immunofluorescence detection of cell samples. ELISA(peptide): For ELISA detection of antigenic peptide.
Fold/Unfold
C16orf77; Chromosome 16 open reading frame 77; FPT025; IL 34; IL-34; Il34; IL34_HUMAN; Interleukin 34; Interleukin-34; Interleukin34; MGC34647;
Immunogens
A synthesized peptide derived from Human Interleukin 34.
Detected in the sinusoidal epithelium in the red pulp of spleen (at protein level). Predominantly expressed in spleen. Also detected in a range of other tissues including heart, brain, lung, liver, kidney, thymus, testis, ovary, small intestine, prostate and colon.
- Q6ZMJ4 IL34_HUMAN:
- Protein BLAST With
- NCBI/
- ExPASy/
- Uniprot
MPRGFTWLRYLGIFLGVALGNEPLEMWPLTQNEECTVTGFLRDKLQYRSRLQYMKHYFPINYKISVPYEGVFRIANVTRLQRAQVSERELRYLWVLVSLSATESVQDVLLEGHPSWKYLQEVETLLLNVQQGLTDVEVSPKVESVLSLLNAPGPNLKLVRPKALLDNCFRVMELLYCSCCKQSSVLNWQDCEVPSPQSCSPEPSLQYAATQLYPPPPWSPSSPPHSTGSVRPVRAQGEGLLP
Research Backgrounds
Cytokine that promotes the proliferation, survival and differentiation of monocytes and macrophages. Promotes the release of proinflammatory chemokines, and thereby plays an important role in innate immunity and in inflammatory processes. Plays an important role in the regulation of osteoclast proliferation and differentiation, and in the regulation of bone resorption. Signaling via CSF1R and its downstream effectors stimulates phosphorylation of MAPK1/ERK2 AND MAPK3/ERK1.
Secreted.
Detected in the sinusoidal epithelium in the red pulp of spleen (at protein level). Predominantly expressed in spleen. Also detected in a range of other tissues including heart, brain, lung, liver, kidney, thymus, testis, ovary, small intestine, prostate and colon.
Belongs to the IL-34 family.
References
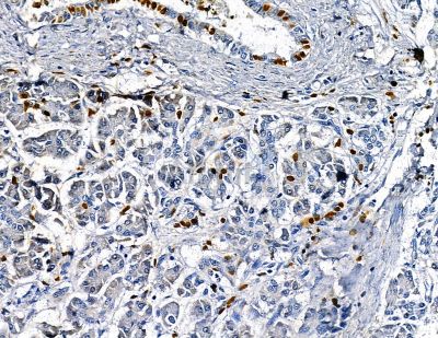
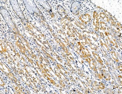
Application: IHC Species: human Sample:
Restrictive clause
Affinity Biosciences tests all products strictly. Citations are provided as a resource for additional applications that have not been validated by Affinity Biosciences. Please choose the appropriate format for each application and consult Materials and Methods sections for additional details about the use of any product in these publications.
For Research Use Only.
Not for use in diagnostic or therapeutic procedures. Not for resale. Not for distribution without written consent. Affinity Biosciences will not be held responsible for patent infringement or other violations that may occur with the use of our products. Affinity Biosciences, Affinity Biosciences Logo and all other trademarks are the property of Affinity Biosciences LTD.