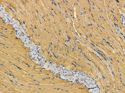
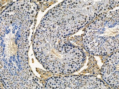
Product: TRIM72 Antibody
Catalog: DF14098
Description: Rabbit polyclonal antibody to TRIM72
Application: WB IHC
Reactivity: Human, Mouse, Rat
Mol.Wt.: 53kD; 53kD(Calculated).
Uniprot: Q6ZMU5

View similar products>>

   Size Price Inventory
 100ul $280 In stock
 200ul $350 In stock

Lead Time: Same day delivery

For pricing and ordering contact:
Local distributors

Product Info

Source:
Rabbit
Application:
IHC 1:50-1:200, WB 1:500-1:2000
*The optimal dilutions should be determined by the end user. For optimal experimental results, antibody reuse is not recommended.
*Tips:

WB: For western blot detection of denatured protein samples. IHC: For immunohistochemical detection of paraffin sections (IHC-p) or frozen sections (IHC-f) of tissue samples. IF/ICC: For immunofluorescence detection of cell samples. ELISA(peptide): For ELISA detection of antigenic peptide.

Reactivity:
Human,Mouse,Rat
Clonality:
Polyclonal
Specificity:
TRIM72 Antibody detects endogenous levels of total TRIM72.
Conjugate:
Unconjugated.
Purification:
The antiserum was purified by peptide affinity chromatography using SulfoLink™ Coupling Resin (Thermo Fisher Scientific).
Storage:
Rabbit IgG in phosphate buffered saline , pH 7.4, 150mM NaCl, 0.02% sodium azide and 50% glycerol. Store at -20 °C. Stable for 12 months from date of receipt.
Alias:

Fold/Unfold

LOC493829; Mg53; Mitsugumin-53; TRI72_HUMAN; trim72; Tripartite motif containing 72; Tripartite motif containing protein 72; Tripartite motif-containing protein 72;

Immunogens

Immunogen:

A synthesized peptide derived from Human TRIM72.

Uniprot:
Gene(ID):
Sequence:
MSAAPGLLHQELSCPLCLQLFDAPVTAECGHSFCRACLGRVAGEPAADGTVLCPCCQAPTRPQALSTNLQLARLVEGLAQVPQGHCEEHLDPLSIYCEQDRALVCGVCASLGSHRGHRLLPAAEAHARLKTQLPQQKLQLQEACMRKEKSVAVLEHQLVEVEETVRQFRGAVGEQLGKMRVFLAALEGSLDREAERVRGEAGVALRRELGSLNSYLEQLRQMEKVLEEVADKPQTEFLMKYCLVTSRLQKILAESPPPARLDIQLPIISDDFKFQVWRKMFRALMPALEELTFDPSSAHPSLVVSSSGRRVECSEQKAPPAGEDPRQFDKAVAVVAHQQLSEGEHYWEVDVGDKPRWALGVIAAEAPRRGRLHAVPSQGLWLLGLREGKILEAHVEAKEPRALRSPERRPTRIGLYLSFGDGVLSFYDASDADALVPLFAFHERLPRPVYPFFDVCWHDKGKNAQPLLLVGPEGAEA

Research Backgrounds

Function:

Muscle-specific protein that plays a central role in cell membrane repair by nucleating the assembly of the repair machinery at injury sites. Specifically binds phosphatidylserine. Acts as a sensor of oxidation: upon membrane damage, entry of extracellular oxidative environment results in disulfide bond formation and homooligomerization at the injury site. This oligomerization acts as a nucleation site for recruitment of TRIM72-containing vesicles to the injury site, leading to membrane patch formation. Probably acts upstream of the Ca(2+)-dependent membrane resealing process. Required for transport of DYSF to sites of cell injury during repair patch formation. Regulates membrane budding and exocytosis. May be involved in the regulation of the mobility of KCNB1-containing endocytic vesicles (By similarity).

PTMs:

Disulfide bond formation at Cys-242 occurs in case of membrane damage that cause the entry of the oxidized milieu of the extracellular space, resulting in homooligomerization.

S-nitrosylation at Cys-144 stabilizes TRIM72 and protects against oxidation-induced protein degradation and cell death.

Subcellular Location:

Cell membrane>Sarcolemma. Cytoplasmic vesicle membrane.
Note: Tethered to plasma membrane and cytoplasmic vesicles via its interaction with phosphatidylserine.

Extracellular region or secreted Cytosol Plasma membrane Cytoskeleton Lysosome Endosome Peroxisome ER Golgi apparatus Nucleus Mitochondrion Manual annotation Automatic computational assertionSubcellular location
Family&Domains:

Belongs to the TRIM/RBCC family.

Restrictive clause

 

Affinity Biosciences tests all products strictly. Citations are provided as a resource for additional applications that have not been validated by Affinity Biosciences. Please choose the appropriate format for each application and consult Materials and Methods sections for additional details about the use of any product in these publications.

For Research Use Only.
Not for use in diagnostic or therapeutic procedures. Not for resale. Not for distribution without written consent. Affinity Biosciences will not be held responsible for patent infringement or other violations that may occur with the use of our products. Affinity Biosciences, Affinity Biosciences Logo and all other trademarks are the property of Affinity Biosciences LTD.