Product: CLEC12A Antibody
Catalog: DF14229
Description: Rabbit polyclonal antibody to CLEC12A
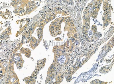
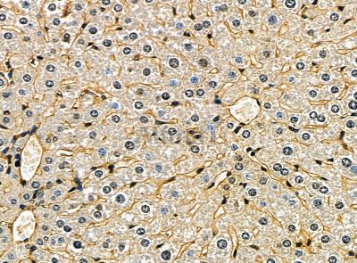
Application: WB IHC IF/ICC
Reactivity: Human, Mouse, Rat
Mol.Wt.: 31kD(Calculated).
Uniprot: Q5QGZ9

View similar products>>

   Size Price Inventory
 100ul $280 In stock
 200ul $350 In stock

Lead Time: Same day delivery

For pricing and ordering contact:
Local distributors

Product Info

Source:
Rabbit
Application:
WB 1:500-1:2000, IHC 1:50-1:200, IF/ICC 1:100-1:500
*The optimal dilutions should be determined by the end user. For optimal experimental results, antibody reuse is not recommended.
*Tips:

WB: For western blot detection of denatured protein samples. IHC: For immunohistochemical detection of paraffin sections (IHC-p) or frozen sections (IHC-f) of tissue samples. IF/ICC: For immunofluorescence detection of cell samples. ELISA(peptide): For ELISA detection of antigenic peptide.

Reactivity:
Human,Mouse,Rat
Clonality:
Polyclonal
Specificity:
CLEC12A Antibody detects endogenous levels of total CLEC12A.
Conjugate:
Unconjugated.
Purification:
The antiserum was purified by peptide affinity chromatography using SulfoLink™ Coupling Resin (Thermo Fisher Scientific).
Storage:
Rabbit IgG in phosphate buffered saline , pH 7.4, 150mM NaCl, 0.02% sodium azide and 50% glycerol. Store at -20 °C. Stable for 12 months from date of receipt.
Alias:

Fold/Unfold

C-type lectin domain family 12 member A; C-type lectin-like molecule 1; CL12A_HUMAN; CLEC12A; CLL-1; DCAL-2; Dendritic cell-associated lectin 2; MICL; Myeloid inhibitory C-type lectin-like receptor;

Immunogens

Immunogen:

A synthesized peptide derived from Human CLEC12A.

Uniprot:
Gene(ID):
Expression:
Q5QGZ9 CL12A_HUMAN:

Detected in normal myeloid cells and in acute myeloid leukemia cells. Detected in neutrophils, eosinophils, monocytes and dendritic cells. Detected in spleen macrophage-rich red pulp and in lymph node (at protein level). Detected in peripheral blood leukocytes, dendritic cells, bone marrow, monocytes, mononuclear leukocytes and macrophages.

Sequence:
MSEEVTYADLQFQNSSEMEKIPEIGKFGEKAPPAPSHVWRPAALFLTLLCLLLLIGLGVLASMFHVTLKIEMKKMNKLQNISEELQRNISLQLMSNMNISNKIRNLSTTLQTIATKLCRELYSKEQEHKCKPCPRRWIWHKDSCYFLSDDVQTWQESKMACAAQNASLLKINNKNALEFIKSQSRSYDYWLGLSPEEDSTRGMRVDNIINSSAWVIRNAPDLNNMYCGYINRLYVQYYHCTYKKRMICEKMANPVQLGSTYFREA

Research Backgrounds

Function:

Cell surface receptor that modulates signaling cascades and mediates tyrosine phosphorylation of target MAP kinases.

PTMs:

Highly N-glycosylated. Glycosylation varies between cell types.

Subcellular Location:

Cell membrane>Single-pass type II membrane protein.
Note: Ligand binding leads to internalization.

Extracellular region or secreted Cytosol Plasma membrane Cytoskeleton Lysosome Endosome Peroxisome ER Golgi apparatus Nucleus Mitochondrion Manual annotation Automatic computational assertionSubcellular location
Tissue Specificity:

Detected in normal myeloid cells and in acute myeloid leukemia cells. Detected in neutrophils, eosinophils, monocytes and dendritic cells. Detected in spleen macrophage-rich red pulp and in lymph node (at protein level). Detected in peripheral blood leukocytes, dendritic cells, bone marrow, monocytes, mononuclear leukocytes and macrophages.

Family&Domains:

Contains 1 copy of a cytoplasmic motif that is referred to as the immunoreceptor tyrosine-based inhibitor motif (ITIM). This motif is involved in modulation of cellular responses. The phosphorylated ITIM motif can bind the SH2 domain of several SH2-containing phosphatases.

Restrictive clause

 

Affinity Biosciences tests all products strictly. Citations are provided as a resource for additional applications that have not been validated by Affinity Biosciences. Please choose the appropriate format for each application and consult Materials and Methods sections for additional details about the use of any product in these publications.

For Research Use Only.
Not for use in diagnostic or therapeutic procedures. Not for resale. Not for distribution without written consent. Affinity Biosciences will not be held responsible for patent infringement or other violations that may occur with the use of our products. Affinity Biosciences, Affinity Biosciences Logo and all other trademarks are the property of Affinity Biosciences LTD.