TIP120A Antibody - #DF14388

Related Downloads
Protocols
Product Info
*The optimal dilutions should be determined by the end user.
*Tips:
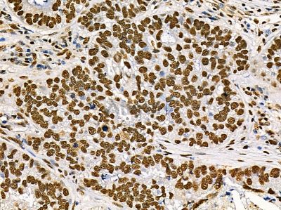
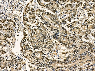
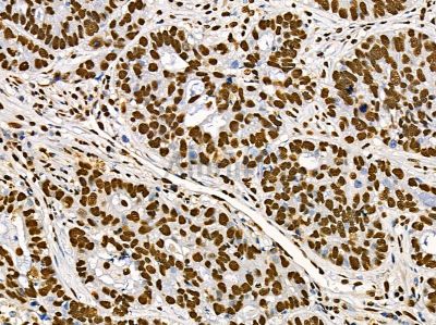
WB: For western blot detection of denatured protein samples. IHC: For immunohistochemical detection of paraffin sections (IHC-p) or frozen sections (IHC-f) of tissue samples. IF/ICC: For immunofluorescence detection of cell samples. ELISA(peptide): For ELISA detection of antigenic peptide.
Fold/Unfold
CAND 1; Cand1; CAND1_HUMAN; Cullin associated and neddylation dissociated 1; Cullin associated and neddylation dissociated protein 1; Cullin associated NEDD8 dissociated protein 1; Cullin-associated and neddylation-dissociated protein 1; Cullin-associated NEDD8-dissociated protein 1; DKFZP434M1414; FLJ10114; FLJ10929; FLJ38691; FLJ90441; KIAA0829; p120 CAND1; TATA binding protein interacting protein 120A; TBP interacting protein; TBP interacting protein of 120 kDa A; TBP Interacting Protein TIP120A; TBP-interacting protein 120A; TBP-interacting protein of 120 kDa A; TIP120; TIP120 protein; TIP120A;
Immunogens
A synthesized peptide derived from Human TIP120A.
- Q86VP6 CAND1_HUMAN:
- Protein BLAST With
- NCBI/
- ExPASy/
- Uniprot
MASASYHISNLLEKMTSSDKDFRFMATNDLMTELQKDSIKLDDDSERKVVKMILKLLEDKNGEVQNLAVKCLGPLVSKVKEYQVETIVDTLCTNMLSDKEQLRDISSIGLKTVIGELPPASSGSALAANVCKKITGRLTSAIAKQEDVSVQLEALDIMADMLSRQGGLLVNFHPSILTCLLPQLTSPRLAVRKRTIIALGHLVMSCGNIVFVDLIEHLLSELSKNDSMSTTRTYIQCIAAISRQAGHRIGEYLEKIIPLVVKFCNVDDDELREYCIQAFESFVRRCPKEVYPHVSTIINICLKYLTYDPNYNYDDEDEDENAMDADGGDDDDQGSDDEYSDDDDMSWKVRRAAAKCLDAVVSTRHEMLPEFYKTVSPALISRFKEREENVKADVFHAYLSLLKQTRPVQSWLCDPDAMEQGETPLTMLQSQVPNIVKALHKQMKEKSVKTRQCCFNMLTELVNVLPGALTQHIPVLVPGIIFSLNDKSSSSNLKIDALSCLYVILCNHSPQVFHPHVQALVPPVVACVGDPFYKITSEALLVTQQLVKVIRPLDQPSSFDATPYIKDLFTCTIKRLKAADIDQEVKERAISCMGQIICNLGDNLGSDLPNTLQIFLERLKNEITRLTTVKALTLIAGSPLKIDLRPVLGEGVPILASFLRKNQRALKLGTLSALDILIKNYSDSLTAAMIDAVLDELPPLISESDMHVSQMAISFLTTLAKVYPSSLSKISGSILNELIGLVRSPLLQGGALSAMLDFFQALVVTGTNNLGYMDLLRMLTGPVYSQSTALTHKQSYYSIAKCVAALTRACPKEGPAVVGQFIQDVKNSRSTDSIRLLALLSLGEVGHHIDLSGQLELKSVILEAFSSPSEEVKSAASYALGSISVGNLPEYLPFVLQEITSQPKRQYLLLHSLKEIISSASVVGLKPYVENIWALLLKHCECAEEGTRNVVAECLGKLTLIDPETLLPRLKGYLISGSSYARSSVVTAVKFTISDHPQPIDPLLKNCIGDFLKTLEDPDLNVRRVALVTFNSAAHNKPSLIRDLLDTVLPHLYNETKVRKELIREVEMGPFKHTVDDGLDIRKAAFECMYTLLDSCLDRLDIFEFLNHVEDGLKDHYDIKMLTFLMLVRLSTLCPSAVLQRLDRLVEPLRATCTTKVKANSVKQEFEKQDELKRSAMRAVAALLTIPEAEKSPLMSEFQSQISSNPELAAIFESIQKDSSSTNLESMDTS
Research Backgrounds
Key assembly factor of SCF (SKP1-CUL1-F-box protein) E3 ubiquitin ligase complexes that promotes the exchange of the substrate-recognition F-box subunit in SCF complexes, thereby playing a key role in the cellular repertoire of SCF complexes. Acts as a F-box protein exchange factor. The exchange activity of CAND1 is coupled with cycles of neddylation conjugation: in the deneddylated state, cullin-binding CAND1 binds CUL1-RBX1, increasing dissociation of the SCF complex and promoting exchange of the F-box protein. Probably plays a similar role in other cullin-RING E3 ubiquitin ligase complexes.
Cytoplasm. Nucleus.
Note: Predominantly cytoplasmic.
Belongs to the CAND family.
References
Restrictive clause
Affinity Biosciences tests all products strictly. Citations are provided as a resource for additional applications that have not been validated by Affinity Biosciences. Please choose the appropriate format for each application and consult Materials and Methods sections for additional details about the use of any product in these publications.
For Research Use Only.
Not for use in diagnostic or therapeutic procedures. Not for resale. Not for distribution without written consent. Affinity Biosciences will not be held responsible for patent infringement or other violations that may occur with the use of our products. Affinity Biosciences, Affinity Biosciences Logo and all other trademarks are the property of Affinity Biosciences LTD.