SENP8 Antibody - #AF0279

Product: | SENP8 Antibody |
Catalog: | AF0279 |
Description: | Rabbit polyclonal antibody to SENP8 |
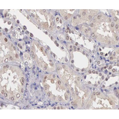
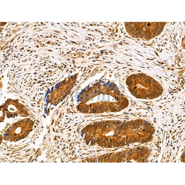
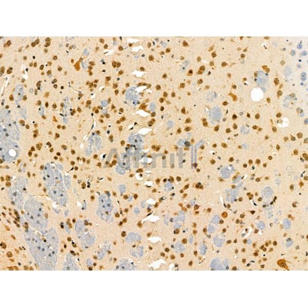
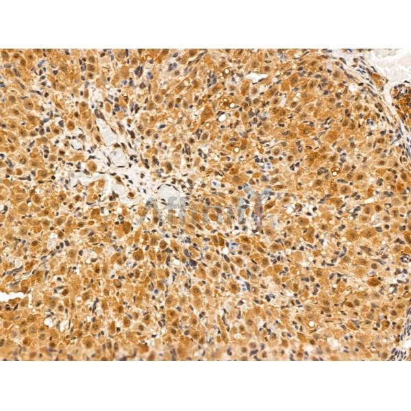
Application: | WB IHC IF/ICC |
Reactivity: | Human, Mouse, Rat |
Prediction: | Pig, Bovine, Horse, Sheep, Dog |
Mol.Wt.: | 27kDa; 24kD(Calculated). |
Uniprot: | Q96LD8 |
RRID: | AB_2833448 |
Related Downloads
Protocols
Product Info
*The optimal dilutions should be determined by the end user.
*Tips:
WB: For western blot detection of denatured protein samples. IHC: For immunohistochemical detection of paraffin sections (IHC-p) or frozen sections (IHC-f) of tissue samples. IF/ICC: For immunofluorescence detection of cell samples. ELISA(peptide): For ELISA detection of antigenic peptide.
Cite Format: Affinity Biosciences Cat# AF0279, RRID:AB_2833448.
Fold/Unfold
cysteine 2; DEN 1; DEN1; Deneddylase 1; Deneddylase-1; FKSG8; HsT17512; NEDD 8 specific protease 1; NEDD8 specific protease cysteine 2; NEDD8-specific protease 1; NEDP 1; NEDP1; Protease; Protease, cysteine 2; PRSC2; SENP8; SENP8_HUMAN; Sentrin / SUMO specific protease SENP 8; Sentrin-specific protease 8; Sentrin/SUMO-specific protease SENP8; SUMO sentrin specific protease family member 8; SUMO/sentrin peptidase family member, NEDD8 specific; SUMO/sentrin specific peptidase family member 8;
Immunogens
A synthesized peptide derived from human SENP8, corresponding to a region within C-terminal amino acids.
- Q96LD8 SENP8_HUMAN:
- Protein BLAST With
- NCBI/
- ExPASy/
- Uniprot
MDPVVLSYMDSLLRQSDVSLLDPPSWLNDHIIGFAFEYFANSQFHDCSDHVSFISPEVTQFIKCTSNPAEIAMFLEPLDLPNKRVVFLAINDNSNQAAGGTHWSLLVYLQDKNSFFHYDSHSRSNSVHAKQVAEKLEAFLGRKGDKLAFVEEKAPAQQNSYDCGMYVICNTEALCQNFFRQQTESLLQLLTPAYITKKRGEWKDLITTLAKK
Predictions
Score>80(red) has high confidence and is suggested to be used for WB detection. *The prediction model is mainly based on the alignment of immunogen sequences, the results are for reference only, not as the basis of quality assurance.
High(score>80) Medium(80>score>50) Low(score<50) No confidence
Research Backgrounds
Protease that catalyzes two essential functions in the NEDD8 pathway: processing of full-length NEDD8 to its mature form and deconjugation of NEDD8 from targeted proteins such as cullins or p53.
Broadly expressed, with highest levels in kidney and pancreas.
Belongs to the peptidase C48 family.
References
Restrictive clause
Affinity Biosciences tests all products strictly. Citations are provided as a resource for additional applications that have not been validated by Affinity Biosciences. Please choose the appropriate format for each application and consult Materials and Methods sections for additional details about the use of any product in these publications.
For Research Use Only.
Not for use in diagnostic or therapeutic procedures. Not for resale. Not for distribution without written consent. Affinity Biosciences will not be held responsible for patent infringement or other violations that may occur with the use of our products. Affinity Biosciences, Affinity Biosciences Logo and all other trademarks are the property of Affinity Biosciences LTD.