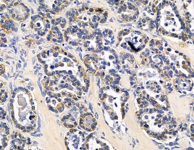
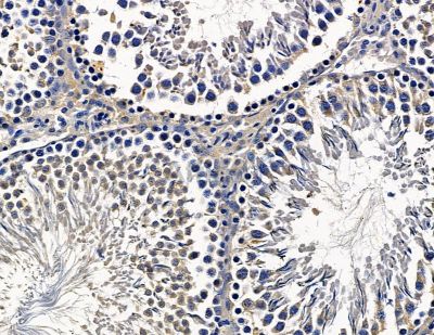
Product: HPS6 Antibody
Catalog: DF15359
Description: Rabbit polyclonal antibody to HPS6
Application: WB IHC IF/ICC
Reactivity: Human, Mouse, Rat
Mol.Wt.: 83kD(Calculated).
Uniprot: Q86YV9

View similar products>>

   Size Price Inventory
 100ul $280 In stock
 200ul $350 In stock

Lead Time: Same day delivery

For pricing and ordering contact:
Local distributors

Product Info

Source:
Rabbit
Application:
WB 1:500-1:2000, IHC 1:50-1:200, IF/ICC 1:100-1:500
*The optimal dilutions should be determined by the end user. For optimal experimental results, antibody reuse is not recommended.
*Tips:

WB: For western blot detection of denatured protein samples. IHC: For immunohistochemical detection of paraffin sections (IHC-p) or frozen sections (IHC-f) of tissue samples. IF/ICC: For immunofluorescence detection of cell samples. ELISA(peptide): For ELISA detection of antigenic peptide.

Reactivity:
Human,Mouse,Rat
Clonality:
Polyclonal
Specificity:
HPS6 Antibody detects endogenous levels of HPS6.
Conjugate:
Unconjugated.
Purification:
The antiserum was purified by peptide affinity chromatography using SulfoLink™ Coupling Resin (Thermo Fisher Scientific).
Storage:
Rabbit IgG in phosphate buffered saline, pH 7.4, 150mM NaCl, 0.02% sodium azide and 50% glycerol. Store at -20 °C. Stable for 12 months from date of receipt.
Alias:

Fold/Unfold

BLOC2S3; FLJ22501; Hermansky Pudlak syndrome 6 protein; Hermansky-Pudlak syndrome 6 protein; HPS6; HPS6 biogenesis of lysosomal organelles complex 2 subunit 3; HPS6_HUMAN; MGC20522; Ru; Ruby eye protein homolog; Ruby-eye protein homolog;

Immunogens

Immunogen:

A synthesized peptide derived from human HPS6.

Uniprot:
Gene(ID):
Expression:
Q86YV9 HPS6_HUMAN:

Ubiquitous.

Sequence:
MKRSGTLRLLSDLSAFGGAARLRELVAGDSAVRVRGSPDGRHLLLLRPPGAVAPQLLVASRGPGAELERAWPAGQPSPLDAFFLPWPARPALVLVWESGLAEVWGAGVGPGWRPLQSTELCPGGGARVVAVAALRGRLVWCEERQARAEGPSGSPAAAFSHCVCVRTLEPSGEASTSLGRTHVLLHHCPAFGLLASCRQLFLVPTATTWPGVAHVLLIWSPGKGKVMVAAPRLGLSYSKSLNPGRGDTWDFRTLLRGLPGLLSPREPLAVHTWAPTPQGLLLLDFGGTVSLLQSHGGTRAVGTLQEAPVGPWGSAALGTFQGTLACVLGSTLELLDMGSGQLLERKVLSTDRVHLLEPPAPGMEDEEELETRGNLRLLSALGLFCVGWEAPQGVELPSAKDLVFEEACGYYQRRSLRGAQLTPEELRHSSTFRAPQALASILQGHLPPSALLTMLRTELRDYRGLEQLKAQLVAGDDEEAGWTELAEQEVARLLRTELIGDQLAQLNTVFQALPTAAWGATLRALQLQLDGNGKLRSQAPPDVWKKVLGGITAGKEPPNGILPPFELLCQCLCQLEPRWLPPFVELAQQQGGPGWGAGGPGLPLYRRALAVLGEEGTRPEALELELLLSSGRPKAVLQAVGQLVQKEQWDRALDAGLALGPSSPLLRSEIFKLLLAEFAQHRRLDAHLPLLCRLCPPELAPAELLLLLRTYLPDEVGPPTPFPEPGAEPPLTVGLLKALLEQTGAQGWLSGPVLSPYEDILWDPSTPPPTPPRDL

Research Backgrounds

Function:

May regulate the synthesis and function of lysosomes and of highly specialized organelles, such as melanosomes and platelet dense granules. Acts as cargo adapter for the dynein-dynactin motor complex to mediate the transport of lysosomes from the cell periphery to the perinuclear region. Facilitates retrograde lysosomal trafficking by linking the motor complex to lysosomes, and perinuclear positioning of lysosomes is crucial for the delivery of endocytic cargos to lysosomes, for lysosome maturation and functioning.

Subcellular Location:

Microsome membrane. Cytoplasm>Cytosol. Early endosome membrane. Lysosome membrane.

Extracellular region or secreted Cytosol Plasma membrane Cytoskeleton Lysosome Endosome Peroxisome ER Golgi apparatus Nucleus Mitochondrion Manual annotation Automatic computational assertionSubcellular location
Tissue Specificity:

Ubiquitous.

Restrictive clause

 

Affinity Biosciences tests all products strictly. Citations are provided as a resource for additional applications that have not been validated by Affinity Biosciences. Please choose the appropriate format for each application and consult Materials and Methods sections for additional details about the use of any product in these publications.

For Research Use Only.
Not for use in diagnostic or therapeutic procedures. Not for resale. Not for distribution without written consent. Affinity Biosciences will not be held responsible for patent infringement or other violations that may occur with the use of our products. Affinity Biosciences, Affinity Biosciences Logo and all other trademarks are the property of Affinity Biosciences LTD.