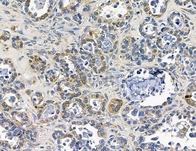
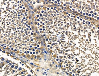
Product: TOM1L1 Antibody
Catalog: DF15773
Description: Rabbit polyclonal antibody to TOM1L1
Application: WB IHC IF/ICC
Reactivity: Human, Mouse, Rat
Mol.Wt.: 53kD(Calculated).
Uniprot: O75674

View similar products>>

   Size Price Inventory
 100ul $280 In stock
 200ul $350 In stock

Lead Time: Same day delivery

For pricing and ordering contact:
Local distributors

Product Info

Source:
Rabbit
Application:
WB 1:500-1:2000, IF/ICC 1:100-1:500, IHC 1:50-1:200
*The optimal dilutions should be determined by the end user. For optimal experimental results, antibody reuse is not recommended.
*Tips:

WB: For western blot detection of denatured protein samples. IHC: For immunohistochemical detection of paraffin sections (IHC-p) or frozen sections (IHC-f) of tissue samples. IF/ICC: For immunofluorescence detection of cell samples. ELISA(peptide): For ELISA detection of antigenic peptide.

Reactivity:
Human,Mouse,Rat
Clonality:
Polyclonal
Specificity:
TOM1L1 Antibody detects endogenous levels of TOM1L1.
Conjugate:
Unconjugated.
Purification:
The antiserum was purified by peptide affinity chromatography using SulfoLink™ Coupling Resin (Thermo Fisher Scientific).
Storage:
Rabbit IgG in phosphate buffered saline, pH 7.4, 150mM NaCl, 0.02% sodium azide and 50% glycerol. Store at -20 °C. Stable for 12 months from date of receipt.
Alias:

Fold/Unfold

2310045L10Rik; C80573; OK/KNS CL.3; Src activating and signaling molecule; Src activating and signaling molecule protein; Src-activating and signaling molecule protein; SRCASM; Target of Myb like protein 1; Target of Myb-like protein 1; Target of myb1 (chicken) homolog like 1; Target of myb1 (chicken) like 1; Target of myb1 like 1; TM1L1_HUMAN; TOM1 L1; TOM1 like protein 1; TOM1-like protein 1; TOM1L1; TOM1L1 protein;

Immunogens

Immunogen:

A synthesized peptide derived from human TOM1L1.

Uniprot:
Gene(ID):
Sequence:
MAFGKSHRDPYATSVGHLIEKATFAGVQTEDWGQFMHICDIINTTQDGPKDAVKALKKRISKNYNHKEIQLTLSLIDMCVQNCGPSFQSLIVKKEFVKENLVKLLNPRYNLPLDIQNRILNFIKTWSQGFPGGVDVSEVKEVYLDLVKKGVQFPPSEAEAETARQETAQISSNPPTSVPTAPALSSVIAPKNSTVTLVPEQIGKLHSELDMVKMNVRVMSAILMENTPGSENHEDIELLQKLYKTGREMQERIMDLLVVVENEDVTVELIQVNEDLNNAILGYERFTRNQQRILEQNKNQKEATNTTSEPSAPSQDLLDLSPSPRMPRATLGELNTMNNQLSGLNFSLPSSDVTNNLKPSLHPQMNLLALENTEIPPFAQRTSQNLTSSHAYDNFLEHSNSVFLQPVSLQTIAAAPSNQSLPPLPSNHPAMTKSDLQPPNYYEVMEFDPLAPAVTTEAIYEEIDAHQHKGAQNDGD

Research Backgrounds

Function:

Probable adapter protein involved in signaling pathways. Interacts with the SH2 and SH3 domains of various signaling proteins when it is phosphorylated. May promote FYN activation, possibly by disrupting intramolecular SH3-dependent interactions (By similarity).

PTMs:

Phosphorylated on tyrosines by FYN and LYN.

Subcellular Location:

Golgi apparatus>Golgi stack. Endosome membrane. Cytoplasm. Membrane>Peripheral membrane protein>Cytoplasmic side.
Note: A small proportion is membrane-associated.

Extracellular region or secreted Cytosol Plasma membrane Cytoskeleton Lysosome Endosome Peroxisome ER Golgi apparatus Nucleus Mitochondrion Manual annotation Automatic computational assertionSubcellular location
Family&Domains:

Belongs to the TOM1 family.

Restrictive clause

 

Affinity Biosciences tests all products strictly. Citations are provided as a resource for additional applications that have not been validated by Affinity Biosciences. Please choose the appropriate format for each application and consult Materials and Methods sections for additional details about the use of any product in these publications.

For Research Use Only.
Not for use in diagnostic or therapeutic procedures. Not for resale. Not for distribution without written consent. Affinity Biosciences will not be held responsible for patent infringement or other violations that may occur with the use of our products. Affinity Biosciences, Affinity Biosciences Logo and all other trademarks are the property of Affinity Biosciences LTD.