Product: RFX2 Antibody
Catalog: DF15783
Description: Rabbit polyclonal antibody to RFX2
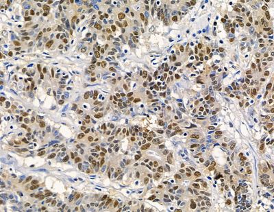
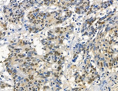
Application: IHC IF/ICC
Reactivity: Human, Mouse, Rat
Mol.Wt.: 80kD(Calculated).
Uniprot: P48378

View similar products>>

   Size Price Inventory
 100ul $280 In stock
 200ul $350 In stock

Lead Time: Same day delivery

For pricing and ordering contact:
Local distributors

Product Info

Source:
Rabbit
Application:
IF/ICC 1:100-1:500, IHC 1:50-1:200
*The optimal dilutions should be determined by the end user. For optimal experimental results, antibody reuse is not recommended.
*Tips:

WB: For western blot detection of denatured protein samples. IHC: For immunohistochemical detection of paraffin sections (IHC-p) or frozen sections (IHC-f) of tissue samples. IF/ICC: For immunofluorescence detection of cell samples. ELISA(peptide): For ELISA detection of antigenic peptide.

Reactivity:
Human,Mouse,Rat
Clonality:
Polyclonal
Specificity:
RFX2 Antibody detects endogenous levels of RFX2.
Conjugate:
Unconjugated.
Purification:
The antiserum was purified by peptide affinity chromatography using SulfoLink™ Coupling Resin (Thermo Fisher Scientific).
Storage:
Rabbit IgG in phosphate buffered saline, pH 7.4, 150mM NaCl, 0.02% sodium azide and 50% glycerol. Store at -20 °C. Stable for 12 months from date of receipt.
Alias:

Fold/Unfold

DNA-binding protein RFX2; HLA class II regulatory factor RFX2; regulatory factor X 2 (influences HLA class II expression); Regulatory factor X 2; regulatory factor X2; RFX2; RFX2_HUMAN; trans acting regulatory factor 2;

Immunogens

Immunogen:

A synthesized peptide derived from human RFX2.

Uniprot:
Gene(ID):
Sequence:
MQNSEGGADSPASVALRPSAAAPPVPASPQRVLVQAASSNPKGAQMQPISLPRVQQVPQQVQPVQHVYPAQVQYVEGGDAVYTNGAIRTAYTYNPEPQMYAPSSTASYFEAPGGAQVTVAASSPPAVPSHSMVGITMDVGGSPIVSSAGAYLIHGGMDSTRHSLAHTSRSSPATLEMAIENLQKSEGITSHKSGLLNSHLQWLLDNYETAEGVSLPRSSLYNHYLRHCQEHKLDPVNAASFGKLIRSVFMGLRTRRLGTRGNSKYHYYGIRLKPDSPLNRLQEDTQYMAMRQQPMHQKPRYRPAQKTDSLGDSGSHSGLHSTPEQTMAVQSQHHQQYIDVSHVFPEFPAPDLGSFLLQDGVTLHDVKALQLVYRRHCEATVDVVMNLQFHYIEKLWLSFWNSKASSSDGPTSLPASDEDPEGAVLPKDKLISLCQCDPILRWMRSCDHILYQALVEILIPDVLRPVPSTLTQAIRNFAKSLEGWLTNAMSDFPQQVIQTKVGVVSAFAQTLRRYTSLNHLAQAARAVLQNTSQINQMLSDLNRVDFANVQEQASWVCQCEESVVQRLEQDFKLTLQQQSSLDQWASWLDSVVTQVLKQHAGSPSFPKAARQFLLKWSFYSSMVIRDLTLRSAASFGSFHLIRLLYDEYMFYLVEHRVAEATGETPIAVMGEFNDLASLSLTLLDKDDMGDEQRGSEAGPDARSLGEPLVKRERSDPNHSLQGI

Research Backgrounds

Function:

Transcription factor that acts as a key regulator of spermatogenesis. Acts by regulating expression of genes required for the haploid phase during spermiogenesis, such as genes required for cilium assembly and function (By similarity). Recognizes and binds the X-box, a regulatory motif with DNA sequence 5'-GTNRCC(0-3N)RGYAAC-3' present on promoters. Probably activates transcription of the testis-specific histone gene HIST1H1T (By similarity).

Subcellular Location:

Nucleus. Cytoplasm.
Note: Mainly expressed in the nucleus and at lower level in cytoplasm.

Extracellular region or secreted Cytosol Plasma membrane Cytoskeleton Lysosome Endosome Peroxisome ER Golgi apparatus Nucleus Mitochondrion Manual annotation Automatic computational assertionSubcellular location
Family&Domains:

Belongs to the RFX family.

Restrictive clause

 

Affinity Biosciences tests all products strictly. Citations are provided as a resource for additional applications that have not been validated by Affinity Biosciences. Please choose the appropriate format for each application and consult Materials and Methods sections for additional details about the use of any product in these publications.

For Research Use Only.
Not for use in diagnostic or therapeutic procedures. Not for resale. Not for distribution without written consent. Affinity Biosciences will not be held responsible for patent infringement or other violations that may occur with the use of our products. Affinity Biosciences, Affinity Biosciences Logo and all other trademarks are the property of Affinity Biosciences LTD.