NQO2 Antibody - #DF7342

Product: | NQO2 Antibody |
Catalog: | DF7342 |
Description: | Rabbit polyclonal antibody to NQO2 |
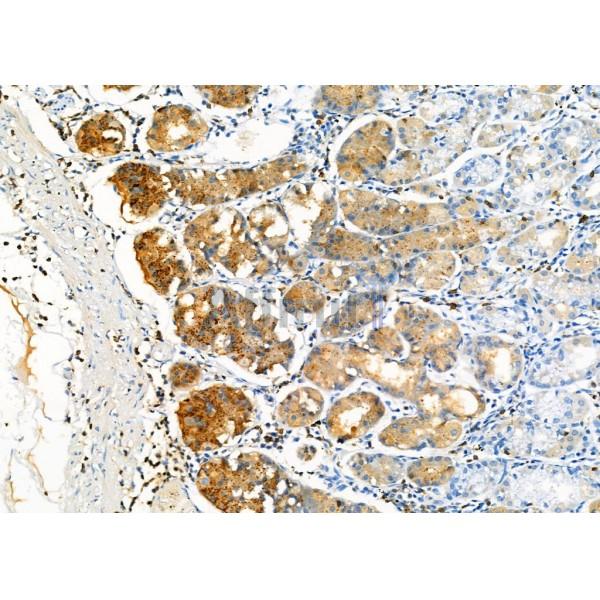
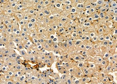
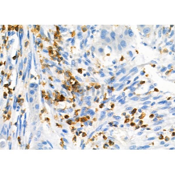
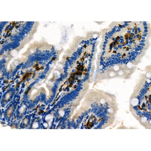
Application: | WB IHC |
Cited expt.: | WB |
Reactivity: | Human, Mouse, Rat |
Prediction: | Pig, Horse, Rabbit, Dog, Chicken |
Mol.Wt.: | 26kDa; 26kD(Calculated). |
Uniprot: | P16083 |
RRID: | AB_2839280 |
Related Downloads
Protocols
Product Info
*The optimal dilutions should be determined by the end user.
*Tips:
WB: For western blot detection of denatured protein samples. IHC: For immunohistochemical detection of paraffin sections (IHC-p) or frozen sections (IHC-f) of tissue samples. IF/ICC: For immunofluorescence detection of cell samples. ELISA(peptide): For ELISA detection of antigenic peptide.
Cite Format: Affinity Biosciences Cat# DF7342, RRID:AB_2839280.
Fold/Unfold
DHQV; DIA6; EC 1.10.99.2; MGC94180; NAD(P)H dehydrogenase quinone 2; NAD(P)H menadione oxidoreductase 1 dioxin inducible 2; NAD(P)H menadione oxidoreductase 2 dioxin inducible; NMOR2; NQO 2; NQO2; NQO2_HUMAN; NRH dehydrogenase [quinone] 2; NRH dehydrogenase; NRH:quinone oxidoreductase 2; OTTHUMP00000015948; OTTHUMP00000015949; OTTHUMP00000015953; Ox 2; Ox2; QR2; Quinone; Quinone reductase 2; Ribosyldihydronicotinamide dehydrogenase [quinone]; Ribosyldihydronicotinamide dehydrogenase;
Immunogens
A synthesized peptide derived from human NQO2, corresponding to a region within N-terminal amino acids.
- P16083 NQO2_HUMAN:
- Protein BLAST With
- NCBI/
- ExPASy/
- Uniprot
MAGKKVLIVYAHQEPKSFNGSLKNVAVDELSRQGCTVTVSDLYAMNLEPRATDKDITGTLSNPEVFNYGVETHEAYKQRSLASDITDEQKKVREADLVIFQFPLYWFSVPAILKGWMDRVLCQGFAFDIPGFYDSGLLQGKLALLSVTTGGTAEMYTKTGVNGDSRYFLWPLQHGTLHFCGFKVLAPQISFAPEIASEEERKGMVAAWSQRLQTIWKEEPIPCTAHWHFGQ
Predictions
Score>80(red) has high confidence and is suggested to be used for WB detection. *The prediction model is mainly based on the alignment of immunogen sequences, the results are for reference only, not as the basis of quality assurance.
High(score>80) Medium(80>score>50) Low(score<50) No confidence
Research Backgrounds
The enzyme apparently serves as a quinone reductase in connection with conjugation reactions of hydroquinones involved in detoxification pathways as well as in biosynthetic processes such as the vitamin K-dependent gamma-carboxylation of glutamate residues in prothrombin synthesis.
Cytoplasm.
Belongs to the NAD(P)H dehydrogenase (quinone) family.
References
Application: WB Species: mouse Sample: BV3 cells
Restrictive clause
Affinity Biosciences tests all products strictly. Citations are provided as a resource for additional applications that have not been validated by Affinity Biosciences. Please choose the appropriate format for each application and consult Materials and Methods sections for additional details about the use of any product in these publications.
For Research Use Only.
Not for use in diagnostic or therapeutic procedures. Not for resale. Not for distribution without written consent. Affinity Biosciences will not be held responsible for patent infringement or other violations that may occur with the use of our products. Affinity Biosciences, Affinity Biosciences Logo and all other trademarks are the property of Affinity Biosciences LTD.