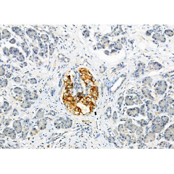
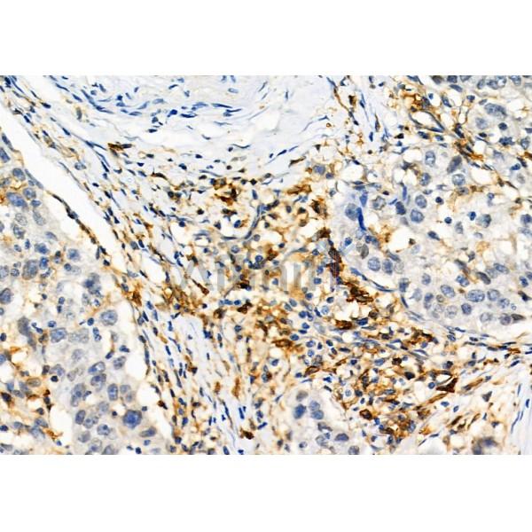
Product: CD97 Antibody
Catalog: DF2307
Description: Rabbit polyclonal antibody to CD97
Application: WB IHC
Reactivity: Human, Mouse, Rat
Mol.Wt.: 92 kDa; 92kD(Calculated).
Uniprot: P48960
RRID: AB_2839531

View similar products>>

   Size Price Inventory
 100ul $280 In stock
 200ul $350 In stock

Lead Time: Same day delivery

For pricing and ordering contact:
Local distributors

Product Info

Source:
Rabbit
Application:
WB 1:500-1:2000, IHC 1:50-1:200
*The optimal dilutions should be determined by the end user. For optimal experimental results, antibody reuse is not recommended.
*Tips:

WB: For western blot detection of denatured protein samples. IHC: For immunohistochemical detection of paraffin sections (IHC-p) or frozen sections (IHC-f) of tissue samples. IF/ICC: For immunofluorescence detection of cell samples. ELISA(peptide): For ELISA detection of antigenic peptide.

Reactivity:
Human,Mouse,Rat
Clonality:
Polyclonal
Specificity:
CD97 Antibody detects endogenous levels of total CD97.
RRID:
AB_2839531
Cite Format: Affinity Biosciences Cat# DF2307, RRID:AB_2839531.
Conjugate:
Unconjugated.
Purification:
The antiserum was purified by peptide affinity chromatography using SulfoLink™ Coupling Resin (Thermo Fisher Scientific).
Storage:
Rabbit IgG in phosphate buffered saline, pH 7.4, 150mM NaCl, 0.02% sodium azide and 50% glycerol. Store at -20 °C. Stable for 12 months from date of receipt.
Alias:

Fold/Unfold

ADGRE5; Adhesion G protein-coupled receptor E5; CD 97; CD_antigen=CD97; CD97; CD97 antigen; CD97 antigen subunit beta; CD97 molecule; CD97_HUMAN; Leukocyte antigen CD97; Seven span transmembrane protein; Seven transmembrane helix receptor; Seven transmembrane heterodimeric receptor associated with inflammation; TM7LN 1; TM7LN1;

Immunogens

Immunogen:

A synthesized peptide derived from human CD97, corresponding to a region within the internal amino acids.

Uniprot:
Gene(ID):
Expression:
P48960 CD97_HUMAN:

Broadly expressed, found on most hematopoietic cells, including activated lymphocytes, monocytes, macrophages, dendritic cells, and granulocytes. Expressed also abundantly by smooth muscle cells. Expressed in thyroid, colorectal, gastric, esophageal and pancreatic carcinomas too. Expression are increased under inflammatory conditions in the CNS of multiple sclerosis and in synovial tissue of patients with rheumatoid arthritis. Increased expression of CD97 in the synovium is accompanied by detectable levels of soluble CD97 in the synovial fluid.

Description:
Receptor potentially involved in both adhesion and signaling processes early after leukocyte activation. Plays an essential role in leukocyte migration
Sequence:
MGGRVFLAFCVWLTLPGAETQDSRGCARWCPQNSSCVNATACRCNPGFSSFSEIITTPTETCDDINECATPSKVSCGKFSDCWNTEGSYDCVCSPGYEPVSGAKTFKNESENTCQDVDECQQNPRLCKSYGTCVNTLGSYTCQCLPGFKFIPEDPKVCTDVNECTSGQNPCHSSTHCLNNVGSYQCRCRPGWQPIPGSPNGPNNTVCEDVDECSSGQHQCDSSTVCFNTVGSYSCRCRPGWKPRHGIPNNQKDTVCEDMTFSTWTPPPGVHSQTLSRFFDKVQDLGRDSKTSSAEVTIQNVIKLVDELMEAPGDVEALAPPVRHLIATQLLSNLEDIMRILAKSLPKGPFTYISPSNTELTLMIQERGDKNVTMGQSSARMKLNWAVAAGAEDPGPAVAGILSIQNMTTLLANASLNLHSKKQAELEEIYESSIRGVQLRRLSAVNSIFLSHNNTKELNSPILFAFSHLESSDGEAGRDPPAKDVMPGPRQELLCAFWKSDSDRGGHWATEGCQVLGSKNGSTTCQCSHLSSFAILMAHYDVEDWKLTLITRVGLALSLFCLLLCILTFLLVRPIQGSRTTIHLHLCICLFVGSTIFLAGIENEGGQVGLRCRLVAGLLHYCFLAAFCWMSLEGLELYFLVVRVFQGQGLSTRWLCLIGYGVPLLIVGVSAAIYSKGYGRPRYCWLDFEQGFLWSFLGPVTFIILCNAVIFVTTVWKLTQKFSEINPDMKKLKKARALTITAIAQLFLLGCTWVFGLFIFDDRSLVLTYVFTILNCLQGAFLYLLHCLLNKKVREEYRKWACLVAGGSKYSEFTSTTSGTGHNQTRALRASESGI

Research Backgrounds

Function:

Receptor potentially involved in both adhesion and signaling processes early after leukocyte activation. Plays an essential role in leukocyte migration (By similarity).

PTMs:

Proteolytically cleaved into 2 subunits, an extracellular alpha subunit and a seven-transmembrane subunit.

Subcellular Location:

Cell membrane>Multi-pass membrane protein.

Secreted>Extracellular space.

Extracellular region or secreted Cytosol Plasma membrane Cytoskeleton Lysosome Endosome Peroxisome ER Golgi apparatus Nucleus Mitochondrion Manual annotation Automatic computational assertionSubcellular location
Tissue Specificity:

Broadly expressed, found on most hematopoietic cells, including activated lymphocytes, monocytes, macrophages, dendritic cells, and granulocytes. Expressed also abundantly by smooth muscle cells. Expressed in thyroid, colorectal, gastric, esophageal and pancreatic carcinomas too. Expression are increased under inflammatory conditions in the CNS of multiple sclerosis and in synovial tissue of patients with rheumatoid arthritis. Increased expression of CD97 in the synovium is accompanied by detectable levels of soluble CD97 in the synovial fluid.

Family&Domains:

The first two EGF domains mediate the interaction with DAF. A third tandemly arranged EGF domain is necessary for the structural integrity of the binding region.

Binding to chondroitin sulfate is mediated by the fourth EGF domain.

Belongs to the G-protein coupled receptor 2 family. LN-TM7 subfamily.

Restrictive clause

 

Affinity Biosciences tests all products strictly. Citations are provided as a resource for additional applications that have not been validated by Affinity Biosciences. Please choose the appropriate format for each application and consult Materials and Methods sections for additional details about the use of any product in these publications.

For Research Use Only.
Not for use in diagnostic or therapeutic procedures. Not for resale. Not for distribution without written consent. Affinity Biosciences will not be held responsible for patent infringement or other violations that may occur with the use of our products. Affinity Biosciences, Affinity Biosciences Logo and all other trademarks are the property of Affinity Biosciences LTD.