Product: TM16G Antibody
Catalog: AF0648
Description: Rabbit polyclonal antibody to TM16G
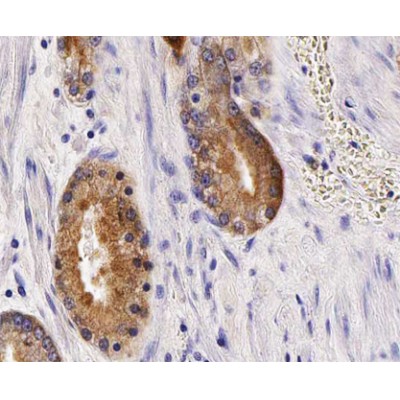
Application: WB IHC IF/ICC
Reactivity: Human
Prediction: Horse, Dog
Mol.Wt.: 105kDa; 106kD(Calculated).
Uniprot: Q6IWH7
RRID: AB_2834287

View similar products>>

   Size Price Inventory
 100ul $280 In stock
 200ul $350 In stock

Lead Time: Same day delivery

For pricing and ordering contact:
Local distributors

Product Info

Source:
Rabbit
Application:
IHC 1:50-1:200, IF/ICC 1:100-1:500, WB 1:500-1:2000
*The optimal dilutions should be determined by the end user. For optimal experimental results, antibody reuse is not recommended.
*Tips:

WB: For western blot detection of denatured protein samples. IHC: For immunohistochemical detection of paraffin sections (IHC-p) or frozen sections (IHC-f) of tissue samples. IF/ICC: For immunofluorescence detection of cell samples. ELISA(peptide): For ELISA detection of antigenic peptide.

Reactivity:
Human
Prediction:
Horse(100%), Dog(100%)
Clonality:
Polyclonal
Specificity:
TM16G Antibody detects endogenous levels of total TM16G.
RRID:
AB_2834287
Cite Format: Affinity Biosciences Cat# AF0648, RRID:AB_2834287.
Conjugate:
Unconjugated.
Purification:
The antiserum was purified by peptide affinity chromatography using SulfoLink™ Coupling Resin (Thermo Fisher Scientific).
Storage:
Rabbit IgG in phosphate buffered saline , pH 7.4, 150mM NaCl, 0.02% sodium azide and 50% glycerol. Store at -20 °C. Stable for 12 months from date of receipt.
Alias:

Fold/Unfold

Ano7; ANO7_HUMAN; Anoctamin 7; Anoctamin-7; D TMPP; D-TMPP; Dresden transmembrane protein of the prostate; DTMPP; IPCA 5; IPCA-5; IPCA5; New gene expressed in prostate; NGEP; PCANAP5; PCANAP5L; Prostate cancer associated protein 5; Prostate cancer-associated protein 5; TMEM16G; Transmembrane protein 16G;

Immunogens

Immunogen:

A synthesized peptide derived from human TM16G, corresponding to a region within the internal amino acids.

Uniprot:
Gene(ID):
Expression:
Q6IWH7 ANO7_HUMAN:

Specifically expressed in epithelial cells of the prostate (at protein level).

Description:
May act as a calcium-activated chloride channel. May play a role in cell-cell interactions.
Sequence:
MRMAATAWAGLQGPPLPTLCPAVRTGLYCRDQAHAERWAMTSETSSGSHCARSRMLRRRAQEEDSTVLIDVSPPEAEKRGSYGSTAHASEPGGQQAAACRAGSPAKPRIADFVLVWEEDLKLDRQQDSAARDRTDMHRTWRETFLDNLRAAGLCVDQQDVQDGNTTVHYALLSASWAVLCYYAEDLRLKLPLQELPNQASNWSAGLLAWLGIPNVLLEVVPDVPPEYYSCRFRVNKLPRFLGSDNQDTFFTSTKRHQILFEILAKTPYGHEKKNLLGIHQLLAEGVLSAAFPLHDGPFKTPPEGPQAPRLNQRQVLFQHWARWGKWNKYQPLDHVRRYFGEKVALYFAWLGFYTGWLLPAAVVGTLVFLVGCFLVFSDIPTQELCGSKDSFEMCPLCLDCPFWLLSSACALAQAGRLFDHGGTVFFSLFMALWAVLLLEYWKRKSATLAYRWDCSDYEDTEERPRPQFAASAPMTAPNPITGEDEPYFPERSRARRMLAGSVVIVVMVAVVVMCLVSIILYRAIMAIVVSRSGNTLLAAWASRIASLTGSVVNLVFILILSKIYVSLAHVLTRWEMHRTQTKFEDAFTLKVFIFQFVNFYSSPVYIAFFKGRFVGYPGNYHTLFGVRNEECAAGGCLIELAQELLVIMVGKQVINNMQEVLIPKLKGWWQKFRLRSKKRKAGASAGASQGPWEDDYELVPCEGLFDEYLEMVLQFGFVTIFVAACPLAPLFALLNNWVEIRLDARKFVCEYRRPVAERAQDIGIWFHILAGLTHLAVISNAFLLAFSSDFLPRAYYRWTRAHDLRGFLNFTLARAPSSFAAAHNRTCRYRAFRDDDGHYSQTYWNLLAIRLAFVIVFEHVVFSVGRLLDLLVPDIPESVEIKVKREYYLAKQALAENEVLFGTNGTKDEQPEGSELSSHWTPFTVPKASQLQQ

Predictions

Predictions:

Score>80(red) has high confidence and is suggested to be used for WB detection. *The prediction model is mainly based on the alignment of immunogen sequences, the results are for reference only, not as the basis of quality assurance.

Species
Results
Score
Horse
100
Dog
100
Pig
0
Bovine
0
Sheep
0
Xenopus
0
Zebrafish
0
Chicken
0
Rabbit
0
Model Confidence:
High(score>80) Medium(80>score>50) Low(score<50) No confidence

Research Backgrounds

Function:

Has calcium-dependent phospholipid scramblase activity; scrambles phosphatidylserine, phosphatidylcholine and galactosylceramide (By similarity). Does not exhibit calcium-activated chloride channel (CaCC) activity. May play a role in cell-cell interactions.

Subcellular Location:

Cell membrane>Multi-pass membrane protein. Cell junction. Endoplasmic reticulum.
Note: Concentrates at sites of cell-cell contact (PubMed:17308099). Shows an intracellular localization according to PubMed:22075693 and PubMed:20056604.

Cytoplasm>Cytosol.

Extracellular region or secreted Cytosol Plasma membrane Cytoskeleton Lysosome Endosome Peroxisome ER Golgi apparatus Nucleus Mitochondrion Manual annotation Automatic computational assertionSubcellular location
Tissue Specificity:

Specifically expressed in epithelial cells of the prostate (at protein level).

Family&Domains:

Belongs to the anoctamin family.

Restrictive clause

 

Affinity Biosciences tests all products strictly. Citations are provided as a resource for additional applications that have not been validated by Affinity Biosciences. Please choose the appropriate format for each application and consult Materials and Methods sections for additional details about the use of any product in these publications.

For Research Use Only.
Not for use in diagnostic or therapeutic procedures. Not for resale. Not for distribution without written consent. Affinity Biosciences will not be held responsible for patent infringement or other violations that may occur with the use of our products. Affinity Biosciences, Affinity Biosciences Logo and all other trademarks are the property of Affinity Biosciences LTD.