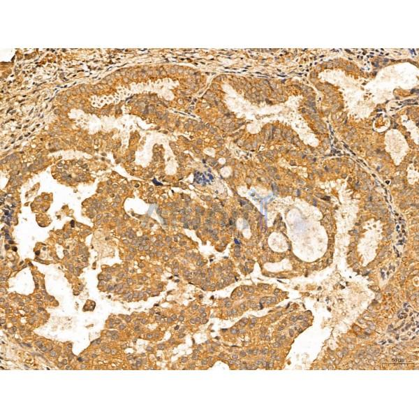
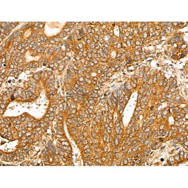
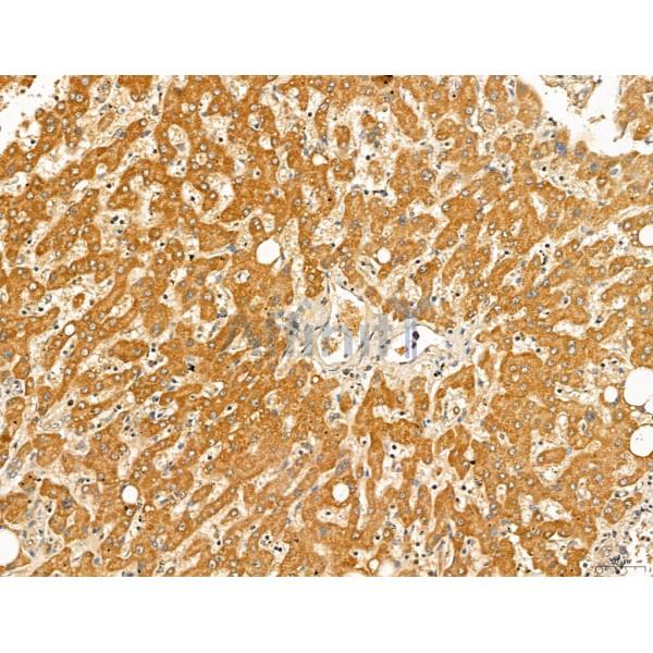
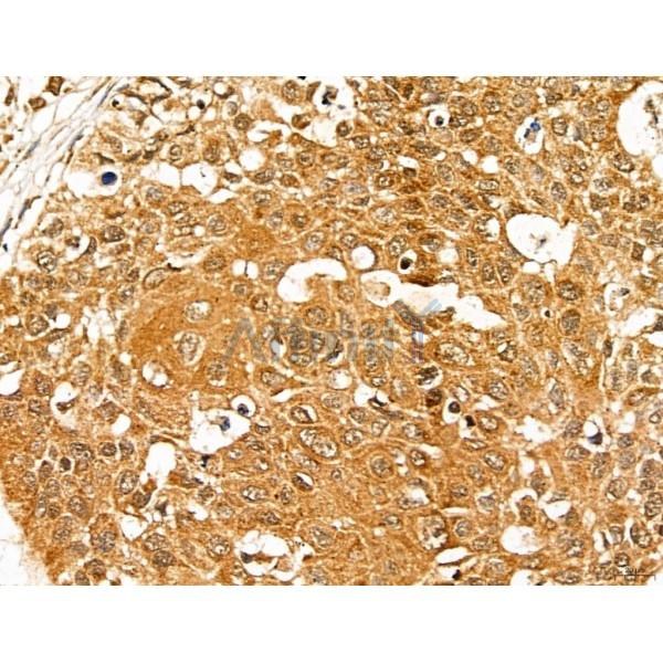
Product: MAN1A2 Antibody
Catalog: DF13136
Description: Rabbit polyclonal antibody to MAN1A2
Application: WB IHC IF/ICC
Reactivity: Human
Prediction: Pig, Zebrafish, Bovine, Horse, Sheep, Rabbit, Dog, Xenopus
Mol.Wt.: 73 kDa; 73kD(Calculated).
Uniprot: O60476
RRID: AB_2846096

View similar products>>

   Size Price Inventory
 100ul $280 In stock
 200ul $350 In stock

Lead Time: Same day delivery

For pricing and ordering contact:
Local distributors

Product Info

Source:
Rabbit
Application:
WB 1:500-1:2000, IF/ICC 1:100-1:500, IHC 1:50-1:200
*The optimal dilutions should be determined by the end user. For optimal experimental results, antibody reuse is not recommended.
*Tips:

WB: For western blot detection of denatured protein samples. IHC: For immunohistochemical detection of paraffin sections (IHC-p) or frozen sections (IHC-f) of tissue samples. IF/ICC: For immunofluorescence detection of cell samples. ELISA(peptide): For ELISA detection of antigenic peptide.

Reactivity:
Human
Prediction:
Pig(100%), Zebrafish(91%), Bovine(100%), Horse(100%), Sheep(100%), Rabbit(100%), Dog(100%), Xenopus(100%)
Clonality:
Polyclonal
Specificity:
MAN1A2 Antibody detects endogenous levels of total MAN1A2.
RRID:
AB_2846096
Cite Format: Affinity Biosciences Cat# DF13136, RRID:AB_2846096.
Conjugate:
Unconjugated.
Purification:
The antiserum was purified by peptide affinity chromatography using SulfoLink™ Coupling Resin (Thermo Fisher Scientific).
Storage:
Rabbit IgG in phosphate buffered saline , pH 7.4, 150mM NaCl, 0.02% sodium azide and 50% glycerol. Store at -20 °C. Stable for 12 months from date of receipt.
Alias:

Fold/Unfold

Alpha 1,2 mannosidase IB; MAN1B; Mannosidase alpha class 1A member 2; Mannosyl oligosaccharide 1,2 alpha mannosidase IB; Processing alpha 1,2 mannosidase IB;

Immunogens

Immunogen:

A synthesized peptide derived from human MAN1A2, corresponding to a region within the internal amino acids.

Uniprot:
Gene(ID):
Expression:
O60476 MA1A2_HUMAN:

Highest levels of expression in placenta and testis.

Sequence:
MTTPALLPLSGRRIPPLNLGPPSFPHHRATLRLSEKFILLLILSAFITLCFGAFFFLPDSSKHKRFDLGLEDVLIPHVDAGKGAKNPGVFLIHGPDEHRHREEEERLRNKIRADHEKALEEAKEKLRKSREEIRAEIQTEKNKVVQEMKIKENKPLPPVPIPNLVGIRGGDPEDNDIREKREKIKEMMKHAWDNYRTYGWGHNELRPIARKGHSPNIFGSSQMGATIVDALDTLYIMGLHDEFLDGQRWIEDNLDFSVNSEVSVFEVNIRFIGGLLAAYYLSGEEIFKIKAVQLAEKLLPAFNTPTGIPWAMVNLKSGVGRNWGWASAGSSILAEFGTLHMEFIHLSYLTGDLTYYKKVMHIRKLLQKMDRPNGLYPNYLNPRTGRWGQYHTSVGGLGDSFYEYLLKAWLMSDKTDHEARKMYDDAIEAIEKHLIKKSRGGLTFIGEWKNGHLEKKMGHLACFAGGMFALGADGSRADKAGHYLELGAEIARTCHESYDRTALKLGPESFKFDGAVEAVAVRQAEKYYILRPEVIETYWYLWRFTHDPRYRQWGWEAALAIEKYCRVNGGFSGVKDVYSSTPTHDDVQQSFFLAETLKYLYLLFSGDDLLPLDHWVFNTEAHPLPVLHLANTTLSGNPAVR

Predictions

Predictions:

Score>80(red) has high confidence and is suggested to be used for WB detection. *The prediction model is mainly based on the alignment of immunogen sequences, the results are for reference only, not as the basis of quality assurance.

Species
Results
Score
Pig
100
Horse
100
Bovine
100
Sheep
100
Dog
100
Xenopus
100
Rabbit
100
Zebrafish
91
Chicken
0
Model Confidence:
High(score>80) Medium(80>score>50) Low(score<50) No confidence

Research Backgrounds

Function:

Involved in the maturation of Asn-linked oligosaccharides. Progressively trim alpha-1,2-linked mannose residues from Man(9)GlcNAc(2) to produce Man(5)GlcNAc(2).

Subcellular Location:

Golgi apparatus membrane>Single-pass type II membrane protein.

Extracellular region or secreted Cytosol Plasma membrane Cytoskeleton Lysosome Endosome Peroxisome ER Golgi apparatus Nucleus Mitochondrion Manual annotation Automatic computational assertionSubcellular location
Tissue Specificity:

Highest levels of expression in placenta and testis.

Family&Domains:

Belongs to the glycosyl hydrolase 47 family.

Research Fields

· Genetic Information Processing > Folding, sorting and degradation > Protein processing in endoplasmic reticulum.   (View pathway)

· Metabolism > Glycan biosynthesis and metabolism > N-Glycan biosynthesis.

· Metabolism > Global and overview maps > Metabolic pathways.

Restrictive clause

 

Affinity Biosciences tests all products strictly. Citations are provided as a resource for additional applications that have not been validated by Affinity Biosciences. Please choose the appropriate format for each application and consult Materials and Methods sections for additional details about the use of any product in these publications.

For Research Use Only.
Not for use in diagnostic or therapeutic procedures. Not for resale. Not for distribution without written consent. Affinity Biosciences will not be held responsible for patent infringement or other violations that may occur with the use of our products. Affinity Biosciences, Affinity Biosciences Logo and all other trademarks are the property of Affinity Biosciences LTD.