Phospho-JAK1 (Tyr1022)[Tyr1034] Antibody - #AF2012
 (24)  
			
			
			(20)
(24)  
			
			
			(20)  
			
			
		| Product: | Phospho-JAK1 (Tyr1022)[Tyr1034] Antibody | 
| Catalog: | AF2012 | 
| Description: | Rabbit polyclonal antibody to Phospho-JAK1 (Tyr1022)[Tyr1034] | 
| Application: | WB IHC IF/ICC | 
| Cited expt.: | WB | 
| Reactivity: | Human, Mouse, Rat | 
| Prediction: | Pig, Bovine, Horse, Sheep, Rabbit, Dog, Chicken, Xenopus | 
| Mol.Wt.: | 130kDa; 133kD(Calculated). | 
| Uniprot: | P23458 | 
| RRID: | AB_2834437 | 
Product Info
*The optimal dilutions should be determined by the end user.
*Tips:
WB: For western blot detection of denatured protein samples. IHC: For immunohistochemical detection of paraffin sections (IHC-p) or frozen sections (IHC-f) of tissue samples. IF/ICC: For immunofluorescence detection of cell samples. ELISA(peptide): For ELISA detection of antigenic peptide.
Cite Format: Affinity Biosciences Cat# AF2012, RRID:AB_2834437.
Fold/Unfold
JAK 1; JAK 1A; JAK 1B; JAK-1; JAK1; JAK1_HUMAN; JAK1A; JAK1B; Janus kinase 1 (a protein tyrosine kinase); Janus kinase 1; JTK3; Tyrosine protein kinase JAK 1; Tyrosine protein kinase JAK1; Tyrosine-protein kinase JAK1;
Immunogens
A synthesized peptide derived from human JAK1 around the phosphorylation site of Tyr1034.
Expressed at higher levels in primary colon tumors than in normal colon tissue. The expression level in metastatic colon tumors is comparable to the expression level in normal colon tissue.
- P23458 JAK1_HUMAN:
- Protein BLAST With
- NCBI/
- ExPASy/
- Uniprot
MQYLNIKEDCNAMAFCAKMRSSKKTEVNLEAPEPGVEVIFYLSDREPLRLGSGEYTAEELCIRAAQACRISPLCHNLFALYDENTKLWYAPNRTITVDDKMSLRLHYRMRFYFTNWHGTNDNEQSVWRHSPKKQKNGYEKKKIPDATPLLDASSLEYLFAQGQYDLVKCLAPIRDPKTEQDGHDIENECLGMAVLAISHYAMMKKMQLPELPKDISYKRYIPETLNKSIRQRNLLTRMRINNVFKDFLKEFNNKTICDSSVSTHDLKVKYLATLETLTKHYGAEIFETSMLLISSENEMNWFHSNDGGNVLYYEVMVTGNLGIQWRHKPNVVSVEKEKNKLKRKKLENKHKKDEEKNKIREEWNNFSYFPEITHIVIKESVVSINKQDNKKMELKLSSHEEALSFVSLVDGYFRLTADAHHYLCTDVAPPLIVHNIQNGCHGPICTEYAINKLRQEGSEEGMYVLRWSCTDFDNILMTVTCFEKSEQVQGAQKQFKNFQIEVQKGRYSLHGSDRSFPSLGDLMSHLKKQILRTDNISFMLKRCCQPKPREISNLLVATKKAQEWQPVYPMSQLSFDRILKKDLVQGEHLGRGTRTHIYSGTLMDYKDDEGTSEEKKIKVILKVLDPSHRDISLAFFEAASMMRQVSHKHIVYLYGVCVRDVENIMVEEFVEGGPLDLFMHRKSDVLTTPWKFKVAKQLASALSYLEDKDLVHGNVCTKNLLLAREGIDSECGPFIKLSDPGIPITVLSRQECIERIPWIAPECVEDSKNLSVAADKWSFGTTLWEICYNGEIPLKDKTLIEKERFYESRCRPVTPSCKELADLMTRCMNYDPNQRPFFRAIMRDINKLEEQNPDIVSEKKPATEVDPTHFEKRFLKRIRDLGEGHFGKVELCRYDPEGDNTGEQVAVKSLKPESGGNHIADLKKEIEILRNLYHENIVKYKGICTEDGGNGIKLIMEFLPSGSLKEYLPKNKNKINLKQQLKYAVQICKGMDYLGSRQYVHRDLAARNVLVESEHQVKIGDFGLTKAIETDKEYYTVKDDRDSPVFWYAPECLMQSKFYIASDVWSFGVTLHELLTYCDSDSSPMALFLKMIGPTHGQMTVTRLVNTLKEGKRLPCPPNCPDEVYQLMRKCWEFQPSNRTSFQNLIEGFEALLK
Predictions
Score>80(red) has high confidence and is suggested to be used for WB detection. *The prediction model is mainly based on the alignment of immunogen sequences, the results are for reference only, not as the basis of quality assurance.
High(score>80) Medium(80>score>50) Low(score<50) No confidence
Research Backgrounds
Tyrosine kinase of the non-receptor type, involved in the IFN-alpha/beta/gamma signal pathway. Kinase partner for the interleukin (IL)-2 receptor as well as interleukin (IL)-10 receptor.
Autophosphorylated. Phosphorylated on tyrosine residues in response to interferon gamma signaling. Dephosphorylation of Tyr-1034 and Tyr-1035 by PTPN2 negatively regulates cytokine-mediated signaling.
Ubiquitinated by RNF125; leading to its degradation by the proteasome.
Endomembrane system>Peripheral membrane protein. 
Note: Wholly intracellular, possibly membrane associated.
Expressed at higher levels in primary colon tumors than in normal colon tissue. The expression level in metastatic colon tumors is comparable to the expression level in normal colon tissue.
Possesses two phosphotransferase domains. The second one probably contains the catalytic domain, while the presence of slight differences suggest a different role for domain 1.
The FERM domain mediates interaction with JAKMIP1.
Belongs to the protein kinase superfamily. Tyr protein kinase family. JAK subfamily.
Research Fields
· Cellular Processes > Cell growth and death > Necroptosis. (View pathway)
· Cellular Processes > Cellular community - eukaryotes > Signaling pathways regulating pluripotency of stem cells. (View pathway)
· Environmental Information Processing > Signal transduction > PI3K-Akt signaling pathway. (View pathway)
· Environmental Information Processing > Signal transduction > Jak-STAT signaling pathway. (View pathway)
· Human Diseases > Drug resistance: Antineoplastic > EGFR tyrosine kinase inhibitor resistance.
· Human Diseases > Infectious diseases: Parasitic > Leishmaniasis.
· Human Diseases > Infectious diseases: Parasitic > Toxoplasmosis.
· Human Diseases > Infectious diseases: Bacterial > Tuberculosis.
· Human Diseases > Infectious diseases: Viral > Hepatitis C.
· Human Diseases > Infectious diseases: Viral > Hepatitis B.
· Human Diseases > Infectious diseases: Viral > Measles.
· Human Diseases > Infectious diseases: Viral > Influenza A.
· Human Diseases > Infectious diseases: Viral > Human papillomavirus infection.
· Human Diseases > Infectious diseases: Viral > HTLV-I infection.
· Human Diseases > Infectious diseases: Viral > Herpes simplex infection.
· Human Diseases > Infectious diseases: Viral > Epstein-Barr virus infection.
· Human Diseases > Cancers: Overview > Pathways in cancer. (View pathway)
· Human Diseases > Cancers: Overview > Viral carcinogenesis.
· Human Diseases > Cancers: Specific types > Pancreatic cancer. (View pathway)
· Organismal Systems > Development > Osteoclast differentiation. (View pathway)
· Organismal Systems > Immune system > NOD-like receptor signaling pathway. (View pathway)
· Organismal Systems > Immune system > Th1 and Th2 cell differentiation. (View pathway)
· Organismal Systems > Immune system > Th17 cell differentiation. (View pathway)
References
Application: WB Species: Mouse Sample: RAW 264.7 cells
Application: WB Species: Mice Sample:
Application: WB Species: Mouse Sample: bone marrow-derived mesenchymal stem cells (BMSCs)
Restrictive clause
Affinity Biosciences tests all products strictly. Citations are provided as a resource for additional applications that have not been validated by Affinity Biosciences. Please choose the appropriate format for each application and consult Materials and Methods sections for additional details about the use of any product in these publications.
For Research Use Only.
Not for use in diagnostic or therapeutic procedures. Not for resale. Not for distribution without written consent. Affinity Biosciences will not be held responsible for patent infringement or other violations that may occur with the use of our products. Affinity Biosciences, Affinity Biosciences Logo and all other trademarks are the property of Affinity Biosciences LTD.
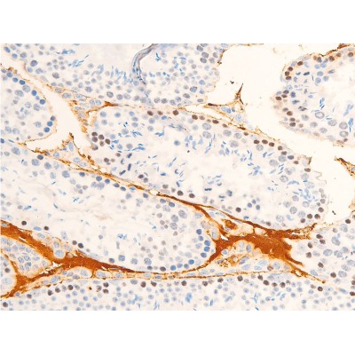
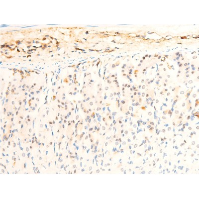
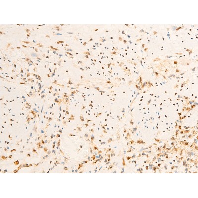
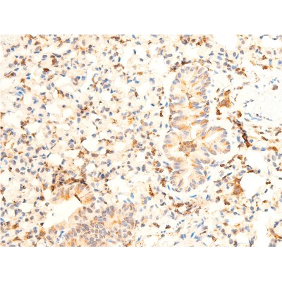
![AF2012 at 1/100 staining mouse testis tissue sections by IHC-P. The tissue was formaldehyde fixed and a heat mediated antigen retrieval step in citrate buffer was performed. The tissue was then blocked and incubated with the antibody for 1.5 hours at 22°C. An HRP conjugated goat anti-rabbit antibody was used as the secondary antibody. Phospho-JAK1 (Tyr1022)[Tyr1034] Antibody - AF2012 at 1/100 staining mouse testis tissue sections by IHC-P.](http://img.affbiotech.cn/images/201707/thumb_img/1183_thumb_P_1499914796141.jpg) 
											![AF2012 at 1/100 staining mouse lung tissue sections by IHC-P. The tissue was formaldehyde fixed and a heat mediated antigen retrieval step in citrate buffer was performed. The tissue was then blocked and incubated with the antibody for 1.5 hours at 22°C. An HRP conjugated goat anti-rabbit antibody was used as the secondary antibody. Phospho-JAK1 (Tyr1022)[Tyr1034] Antibody - AF2012 at 1/100 staining mouse lung tissue sections by IHC-P.](http://img.affbiotech.cn/images/201707/thumb_img/1183_thumb_P_1499914796519.jpg) 
											![AF2012 at 1/100 staining mouse intestinal tissue sections by IHC-P. The tissue was formaldehyde fixed and a heat mediated antigen retrieval step in citrate buffer was performed. The tissue was then blocked and incubated with the antibody for 1.5 hours at 22°C. An HRP conjugated goat anti-rabbit antibody was used as the secondary antibody. Phospho-JAK1 (Tyr1022)[Tyr1034] Antibody - AF2012 at 1/100 staining mouse intestinal tissue sections by IHC-P.](http://img.affbiotech.cn/images/201707/thumb_img/1183_thumb_P_1499914796678.jpg) 
											![AF2012 at 1/100 staining rat uterine tissue sections by IHC-P. The tissue was formaldehyde fixed and a heat mediated antigen retrieval step in citrate buffer was performed. The tissue was then blocked and incubated with the antibody for 1.5 hours at 22°C. An HRP conjugated goat anti-rabbit antibody was used as the secondary antibody. Phospho-JAK1 (Tyr1022)[Tyr1034] Antibody - AF2012 at 1/100 staining rat uterine tissue sections by IHC-P.](http://img.affbiotech.cn/images/201707/thumb_img/1183_thumb_P_1499914796823.jpg) 
											![AF2012 at 1/100 staining rat appendiceal tissue sections by IHC-P. The tissue was formaldehyde fixed and a heat mediated antigen retrieval step in citrate buffer was performed. The tissue was then blocked and incubated with the antibody for 1.5 hours at 22°C. An HRP conjugated goat anti-rabbit antibody was used as the secondary antibody. Phospho-JAK1 (Tyr1022)[Tyr1034] Antibody - AF2012 at 1/100 staining rat appendiceal tissue sections by IHC-P.](http://img.affbiotech.cn/images/201707/thumb_img/1183_thumb_P_1499914796555.jpg) 
											![AF2012 at 1/100 staining rat intestinal tissue sections by IHC-P. The tissue was formaldehyde fixed and a heat mediated antigen retrieval step in citrate buffer was performed. The tissue was then blocked and incubated with the antibody for 1.5 hours at 22°C. An HRP conjugated goat anti-rabbit antibody was used as the secondary antibody. Phospho-JAK1 (Tyr1022)[Tyr1034] Antibody - AF2012 at 1/100 staining rat intestinal tissue sections by IHC-P.](http://img.affbiotech.cn/images/201707/thumb_img/1183_thumb_P_1499914796697.jpg) 
											![AF2012 at 1/100 staining human appendiceal tissue sections by IHC-P. The tissue was formaldehyde fixed and a heat mediated antigen retrieval step in citrate buffer was performed. The tissue was then blocked and incubated with the antibody for 1.5 hours at 22°C. An HRP conjugated goat anti-rabbit antibody was used as the secondary antibody. Phospho-JAK1 (Tyr1022)[Tyr1034] Antibody - AF2012 at 1/100 staining human appendiceal tissue sections by IHC-P.](http://img.affbiotech.cn/images/201707/thumb_img/1183_thumb_P_1499914796116.jpg) 
											![AF2012 at 1/100 staining human seminoma tissue sections by IHC-P. The tissue was formaldehyde fixed and a heat mediated antigen retrieval step in citrate buffer was performed. The tissue was then blocked and incubated with the antibody for 1.5 hours at 22°C. An HRP conjugated goat anti-rabbit antibody was used as the secondary antibody. Phospho-JAK1 (Tyr1022)[Tyr1034] Antibody - AF2012 at 1/100 staining human seminoma tissue sections by IHC-P.](http://img.affbiotech.cn/images/201707/thumb_img/1183_thumb_P_1499914796516.jpg) 
											![AF2012 at 1/100 staining human muscle tumor tissue sections by IHC-P. The tissue was formaldehyde fixed and a heat mediated antigen retrieval step in citrate buffer was performed. The tissue was then blocked and incubated with the antibody for 1.5 hours at 22°C. An HRP conjugated goat anti-rabbit antibody was used as the secondary antibody. Phospho-JAK1 (Tyr1022)[Tyr1034] Antibody - AF2012 at 1/100 staining human muscle tumor tissue sections by IHC-P.](http://img.affbiotech.cn/images/201707/thumb_img/1183_thumb_P_1499914796158.jpg) 
											![AF2012 staining lovo cells by ICC/IF. Cells were fixed with PFA and permeabilized in 0.1% saponin prior to blocking in 10% serum for 45 minutes at 37°C. The primary antibody was diluted 1/400 and incubated with the sample for 1 hour at 37°C. A  Alexa Fluor® 594 conjugated goat polyclonal to rabbit IgG (H+L), diluted 1/600 was used as secondary antibody. Phospho-JAK1 (Tyr1022)[Tyr1034] Antibody - AF2012 staining lovo cells by ICC/IF.](http://img.affbiotech.cn/images/201708/thumb_img/1183_thumb_P_1503278939353.jpg) 
											![peptide-ELISA analysis of AF2012. showing specificity to antigen peptide. Peptides concentration: 1ug/ml.<br>
                    P-peptide: phospho-peptide. N-peptide: non-phospho-peptide.	 Phospho-JAK1 (Tyr1022)[Tyr1034] Antibody - peptide-ELISA analysis of AF2012.](http://img.affbiotech.cn/images/pelisa/809/af2012-peptide-elisa.png) 
											![Figure 6. Effect of BCL2L10 on its downstream gene expression profiles of human cancer pathway in HepG2 cells. (A) By human cancer pathway PCR array, ectopic expression of BCL2L10 up- or down-regulated several genes related to tumor proliferation, apoptosis, metastasis and angiogenesis. (B) Western blot was performed to confirm the downstream gene expression regulated by BCL2L10 in HepG2 cells. GAPDH was used as an internal control. (C) Schematic diagram of the molecular events for BCL2L10 function as a tumor suppressor through regulating cell cycle, proliferation, apoptosis metastasis and angiogenesis effectors. Phospho-JAK1 (Tyr1022)[Tyr1034] Antibody - Figure 6.](http://img.affbiotech.cn/images/cited_image/202111/27770580_20180914230126.jpg) 
											![Figure 5. | GM-CSF increase the mRNA expression level of Nav1.7, Nav1.8, 822 Nav1.9 channel through Jak2-Stat3 signaling pathway. (A) Relative expression of 823 p-Jak1, p-Jak2, p-Jak3, p-stat3 and p-stat5 in DRG neurons after incubation with 824 GM-CSF for 25 mins. (n=3, unpaired t-test, *P < 0.05 as compared to control) Phospho-JAK1 (Tyr1022)[Tyr1034] Antibody - Figure 5.](http://img.affbiotech.cn/images/cited_image/202110/cited_img_235.jpg) 
											![Figure 3.| The gemcitabine-erlotinib (E+G) combination group inhibits the activity of the JAK-STAT pathway, as well as the expression of downstream HIF‑1α, cyclin D1 and p53. (E) Phosphorylation levels of JAK1 (Tyr1022), JAK2 (Tyr221), JAK3(Tyr981) and STAT3 (Tyr701) in BxPC-3 and PANC‑1 cells were analyzed by western blotting, respectively. Phospho-JAK1 (Tyr1022)[Tyr1034] Antibody - Figure 3.](http://img.affbiotech.cn/images/cited_image/202112/cite-wx-74-1640698918.jpg) 
											![Figure 5
A‐F, The expression of JAK1, p‐JAK1, JAK2, p‐JAK2, STAT1, and p‐STAT1 in macrophages within each group as determined by western blot analysis. G‐I, Quantitative analysis of the bands measured by gray value. The experiment was carried out a minimum of three times, and values are expressed as the mean ± SD. *P  < .05 and **P < .01 compared with MI. JAK, Janus kinase; STAT, signal transducer and activator of transcription [Color figure can be viewed at wileyonlinelibrary.com] Phospho-JAK1 (Tyr1022)[Tyr1034] Antibody - Figure 5
A‐F, The expression of JAK1, p‐JAK1, JAK2, p‐JAK2, STAT1, and p‐STAT1 in macrophages within each group as determined by western blot analysis.](http://img.affbiotech.cn/images/cited_image/202207/cite-wx-65-1658977738.jpg) 
											![Fig. 6. Involvement of the JAK1/STAT3 pathway and the paracrine effects of irradiation-induced senescent BMSCs on osteoblasts osteogenic differentiation. A-B:Activation of JAK1/STAT3 pathway after irradiation of 10Gy, as shown in western blot analyses of p-JAK1, T-STAT3 and p-STAT3, while 0.8μM JAK1 inhibitor intervention could effectively inhibite JAK1/STAT3 pathway, and the downstream p-STAT3 expression was more significantly blocked. C: ELISA results show the upregulated secretion of IL-6, IL-8 and MMP9 in the supernatant collected 72h after Downloaded from journals.physiology.org/journal/ajpcell at Lunds Univ Medicinska Fak Biblio (130.235.066.010) on April 8, 2020.10Gy-irradiation and suppressed secretion after adding 0.8μM JAK1 inhibitor following irradiation. D-G: Representative images and quantitative analysis of ALP activity and mineralized nodule area of osteoblasts co-cultured with different types of CM from irradiated BMSCs (Con CM, Con/JAKi CM, IRIS CM and IRIS/JAKi CM).Magnification, ×100. H-I: Relative mRNA and protein expression levels of ALP and OC of osteoblasts co-cultured with four types of CM from irradiated BMSCs. All data were analyzed from three independent experiments. P values were calculated by Student’s t-test and one-way ANOVA analysis. Results are presented as mean ± SD.*p < 0.01, **p < 0.01, ***p < 0.001. ALP: alkaline phosphatase; OC: osteocalcin; Con CM: CM from control BMSCs; Con/JAKi CM: CM from control BMSCs with JAKi intervention; IRIS CM: CM from irradiation-induced senescent BMSCs; IRIS/JAKi CM: CM from irradiation-induced senescent BMSCs with JAKi intervention. SD:standard deviation. Scale bar: 100μm (D, F). Phospho-JAK1 (Tyr1022)[Tyr1034] Antibody - Fig.](http://img.affbiotech.cn/images/cited_image/202207/cite-wx-153-1658977738.jpg) 
											![Fig. 3
The underlying mechanism by which aligned fibers affected macrophage polarization. A Venn diagram showing differentially expressed genes. B KEGG pathway analysis between the A20 and R20 groups. C Heatmap of differentially expressed genes among the three groups. D Heatmap of macrophage polarization-related genes between the A20 and R20 groups. E Volcano diagram of differentially expressed genes. F Western blot analysis of the NF-κB signaling pathway. G Immunofluorescence staining showing the nuclear translocation of NF-κB p65. The nucleus is stained blue, and NF-κB p65 protein is stained red. H Western blot images and semiquantitative analysis of the JAK-STAT signaling pathway (*p < 0.05, **p < 0.01, n = 3) Phospho-JAK1 (Tyr1022)[Tyr1034] Antibody - Fig.](http://img.affbiotech.cn/images/cited_image/202307/cite-132-1689930416.jpg) 
											![Figure 4: Relative mRNA and protein expression levels of JAK1, STAT6, and SOCS1. Phospho-JAK1 (Tyr1022)[Tyr1034] Antibody - Figure 4: Relative mRNA and protein expression levels of JAK1, STAT6, and SOCS1.](http://img.affbiotech.cn/uploads/202402/230e7cd398554d391a461360d295fd68.png) 
											![Figure 5 . MR deficiency impairs the BCG-induced p-JAK1-p-STAT1-MHC-II pathway in macrophages (A) WT and Mr‒/‒ BMDMs were incubated with BCG for the indicated durations. The nuclear, cytoplasmic and total expression levels of pJAK1, JAK1, pSTAT1 and STAT1 in the cells were determined by immunoblotting analysis. (B) WT and Mr‒/‒ BMDMs were incubated with BCG for 1 h. After the removal of extracellular bacteria by washing, the cells were further cultured for 2 h, and nuclear STAT1 was measured by confocal microscopy (scale bar: 5 μm). WT and Mr‒/‒ BMDMs were treated with the STAT1 inhibitor fludarabine prior to incubation with BCG. The expression levels of the surface proteins MHC-I/II, CD80 and CD86 were analyzed by FCM. (C) Experimental scheme. (D) Pooled MFI data for MHC-I/II, CD80 and CD86 in BMDMs. (E) Representative FCM histogram. Data are presented as the mean±SD (n=3) and were evaluated by ANOVA followed by the Neuman-Keuls post hoc test (*P Phospho-JAK1 (Tyr1022)[Tyr1034] Antibody - Figure 5 .](http://img.affbiotech.cn/uploads/202508/e24e742bbe62ffb2b013bac035b91baf.png) 
											![Fig. 9. Transcriptomic analysis of BTZ treatment in LPS-induced inflammatory response. (A) Volcano plot representation of differentially expressed genes between PBS and BTZ group (adjusted 1.5 fold, p-value Phospho-JAK1 (Tyr1022)[Tyr1034] Antibody - Fig.](http://img.affbiotech.cn/uploads/202508/d224258f40a59469bac1395314805936.png)